Chipped fixed bridge repair?

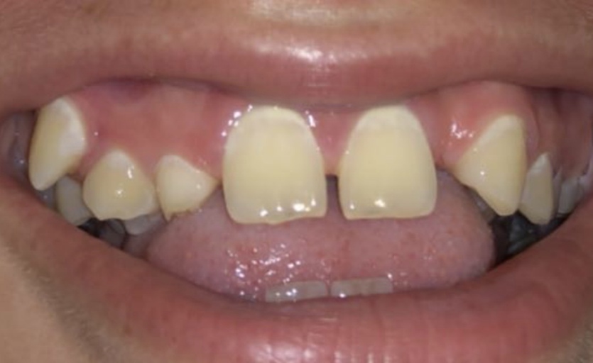
I have a upper fixed bridge between tooth 6-11. it has a metal frame and the teeth seem to be porcelain. I chipped tooth# 8, it is a large chip, but a clean breack and I found the piece that fell out. Unfortunately I am unemployed, and have no insurance or much money, is there and glue I can buy that will be safe and effective in fixing this .....for a years or so till I can afford to have it professionally repaired Thanks Tommy - Illinois

Do you want to answer this question? Login or register now to answer this question.

No profile picture

Answer: Repairing a fixed bridge

By

Unfortunately there is no easy way to fix fractured porcelain back onto a metal surface.  When a bridge is fabricated the porcelain is stacked in layers and baked in an extremely hot oven.  This technique is very delicate.  Once the porcelain fractures the only true way to repair it is to redo the entire bridge.  There aren't any cements or adhesives that will adhere porcelain or composite resin back onto a metal surface with the same integrity to match your biting forces.  Sometimes depending on where the fracture is, some dentists are able to bond composite resin onto the surface using the remaining porcelain as abutments (anchors)to temporarily mask the dark metal show thru.  This is a very temporary fix and sometimes with the best efforts may not last through a meal.  

More Questions from Bridges

Missing Canines

Hi there, my daughter has had a missing canine tooth for 4 years now. This has caused a gap in the front teeth. The other canine is a baby, with no adult tooth to grow in. The space where the missing canine tooth is not big enough for an implant....

Fix Crooked Teeth

hi im looking for the cheapest way to straighten my top teeth i have straight front 2 teeth but my teeth ever side are behind my front 2 teeth and my fang teeth are also out of line have attached photos i am happy and willing to have teeth removed...

What is the best prosthesis for speech purposes?

This question is asked on behalf of speech for actors/ presenters/ performers/ and public speakers who are dealing with loss of upper right 2nd premolars. Can you please rank the best prosthesis based on comfortable tongue movement for articulate...

Maryland Bridge replacement

I have had a gold Maryland bridge for 30 years, teeth 29-31. 31 is the full crown. I am having sensitivity in and around 31 and cannot chew on it. What treatment options do I have? It seems such a waste to remove the entire bridge. I am 62 and...

I think mistakes were made with my bridge; now it broke and more mistakes were made with the repair?

Hello, I recently had a bridge break and the dentist elected to repair it instead of replace it. I have two major concerns... The first involves the bridge breaking. One of the end teeth on the bridge chipped off at the top edge after my latest...

Fractured tooth with gum growth

Hi I am have had two root canal treatments of my second molar tooth next to wisdom tooth and i had a bridge on it. Recently i have had chips of tooth breaking off from the hole created on the crown for the second root canal treatment and today the...

Will a bridge hold on the front

I'm miss four teeth on the right side of my mouth (the front tooth is still there). My doctor said I need 4 implants, which I can't afford. I went for a second a opinion. He said that I can get a bridge, because the two end teeth are there. One...

Should I be in this much pain after a bridge placed?

I am 30 years old, no health problems. I have had several fillings throughout the last several years d/t not taking care of my teeth as a kid. I also had invisalign for 2 year which I finished last year. I wear a retainer at night. I have a high...

Which is better to replace a bridge now over 3 teeth- a longer bridge or 2 implants.

The teeth referred to in the title question are in the upper left portion of my mouth on the side but towards the front. I have been told that I need either a long bridge or 2 implants to replace a bridge that has to be removed in order to...

What is an acceptable range for a gap under the pontic on a bridge?

I recently had a bridge placed on my upper jaw and the gap under the pontic is large enough to pass a toothpick through easily(food constantly gets trapped there), it seems excessive to me, what is the normal range of gap under the bridge? Another...