Changes after 4 Extractions

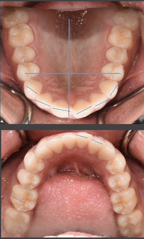
I had four extractions and braces put on at age 7 or 8 and had them for about three years. I wore my retainers until I was 25 at which point I found out retraction orthodontics are bad functionally. I quit wearing the retainers and tried to get my tongue to the roof of my mouth to improve. About four years later I realized my face and bite had looked much worse and I don’t believe this is all due to age related changes. I decided to go to the orthodontist and get my bite fixed. I have done Invisalign and recently got my retainers. I thought they were going to put my bite back to where it was previously but I noticed it’s a little different and my previous retainers do not fit. I also noticed my face is still not the same as before and it seems like my cheek bones are more pronounced. My face seems longer too. I decided I want my teeth back to where they were with the first set of braces so is this possible? Also what dental relationships are different from the first and second time? The photo is from before.

Do you want to answer this question? Login or register now to answer this question.

No profile picture

Answer: Changes after 4 extractions

By Sarah h
Dental Professional

Unfortunately, it is not possible to make your current dentition fit in your previous retainers from when you were an adolecent.  As we age, our mandible (lower jaw) continues to grown.  As your face matures, the shape changes and your teeth continue to shift. Whether or not you believe your first orthodontist did what was best, your teeth were removed and cannot be replaced easily.  Teeth continually shift forward naturally, however they do not naturally move distally (towards the back of your mouth).  When your teeth move, your bite changes, causing your teeth to try and fit together in a new comfortable position.  You can still be class I molar occlusion, even though your previous retainers do not fit.  Your teeth, jaw bones, facial muscles and overall weight all play a role in our face shape.  This must be taken into consideration when looking at your physical appearance.  Continue to wear your retainers as directed by your orthodontist.  This will prevent movement in the future and keep your teeth in their current position.  If you are unsatisfied with your Invisalign treatment, you can ask your treating dentist if a refinement is possible.  Invisalign includes one refinement with your initial treatment cost, at no additional cost to you.  This will give you additional aligners to make minor corrections to your original treatment goal.  If you choose to do so now, you may however, be responsibe for an additional set of retainers in the future. 

More Questions from Dental Braces

How to remove braces glue from teeth?

how can I get the braces glue off I tried everything?

Almost-brodie bite with SFOT. Looking for provider recommendations

I went to my original orthodontist really wanting a wider smile and a fix to my overbite {content removed} sleep apnea. He proposed removing two premolars in order to prepare for double jaw surgery. I had the two lower premolars removed in addition...

Extraction During Braces for Scissor Bite Molar

Hello, i have a simple question regarding braces, over crowding etc. im a 15 year old girl with braces that have been on for 2 years, i have a scissor bite due to a severe crowding case and i have big teeth, i also have an overbite but its not too...

Michelle rabbit braces

Do I need to wear my retainer for life?

I have had my braces off for 10 years and have been pretty responsible about wearing my retainer. I am tired of it and want to put this part of life behind me. My teeth seem to be staying put. Can I simply stop using it and check to see if the...

I stained my saphire braces..please help

Hi. I got saphire braces 2 weeks ago without any elastic ligatures. Because I am a smoker, the brackets became a visible yellow which doesn't come out when I brush my teeth. Please help, I chose the saphire because I knew it wouldn't get stained but...

retainer doesn't fit

Retainer doesn't fit one tooth

I have a permanent and an overnight retainer that I wear religiously. However my teeth still shift. From 0 {content removed} 21 I have had severe lung issues that made me swallow and use my mouth weirdly just so I could breathe. I can not unlearn...

Orthodontic Abroad

Greetings, I hope you are doing well, I am Yosra Gholami, a Ph.D. student at the University of Pittsburgh, School of Medicine. Likewise, I got dental braces in Iran on April 17, 2023, and the wires have been changed three times so far. My question...

My right side molars on top and bottom are lower than the left side. Is this fixable?

My right side molars on both top and bottom are lower than the left side which or placed correctly. I’ve been in braces for over two years now and have not seen any correction in this, despite it being my main concern. My right side profile looks...

Implant bleeding during orthodontic treatment

Hello, I am an adult who had braces as a teen and an implant placed prior to that. The implant is the maxillary right lateral incisor on the top. Now at 40yo I have braces again on my bottom teeth as they have lost their alignment. The braces on...

What should I do about a single miss aligned tooth

Okay so, to explain this I have over crowding in my bottom front set of teeth. Whats happened is you know you have the front 4 teeth, one of the middle teeth to be exact the right middle one has been pushed back into my mouth behind the other 3....