Front tooth turning inward

I have had braces since November of 2011. I had a space between my front teeth. I have had braces in the past and a permanent retainer was attached to the back of my two front teeth, this lasted 14 years until it broke. I wrongly assumed that after 14 years, I would be OK not to have it reattached. I was wrong, my teeth separated yet again. I got braces again this last year. The problem started when I had to have a root canal. The impression materiel got stuck on my braces and the dentist pulled it off causing the band to separate. The orthodontist was out on vacation so the dentist said that he had put the wire back. It felt loose, I mentioned this to him and he said \"no it is fine\". However, afterwards I began to notice that my front right tooth has started to drop and turn inwards towards my left front tooth. I mentioned this to my orthodontist but she said it was OK and that they could \"file it down\" when the treatment was completed. I am not comfortable with having my teeth filed, especially since I paid for braces to straighten them out. My question is; could the loose wire have caused this, the tooth to drop and turn in? They, the dental clinic, said that it was my teeth, to which I responded, I have had braces before and this DID not happen. I am at a point in which I am considering telling them to take the braces off to prevent further damage. What would you recommend? The dentist and the orthodontist work out of the same clinic.

No answers so far.

Do you want to answer this question? Login or register now to answer this question.

More Questions from Dental Braces

How to remove braces glue from teeth?

how can I get the braces glue off I tried everything?

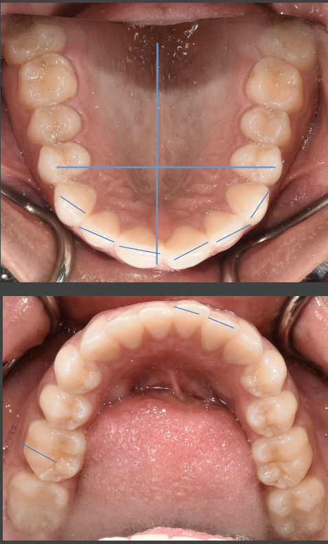
Almost-brodie bite with SFOT. Looking for provider recommendations

I went to my original orthodontist really wanting a wider smile and a fix to my overbite {content removed} sleep apnea. He proposed removing two premolars in order to prepare for double jaw surgery. I had the two lower premolars removed in addition...

Extraction During Braces for Scissor Bite Molar

Hello, i have a simple question regarding braces, over crowding etc. im a 15 year old girl with braces that have been on for 2 years, i have a scissor bite due to a severe crowding case and i have big teeth, i also have an overbite but its not too...

Michelle rabbit braces

Do I need to wear my retainer for life?

I have had my braces off for 10 years and have been pretty responsible about wearing my retainer. I am tired of it and want to put this part of life behind me. My teeth seem to be staying put. Can I simply stop using it and check to see if the...

I stained my saphire braces..please help

Hi. I got saphire braces 2 weeks ago without any elastic ligatures. Because I am a smoker, the brackets became a visible yellow which doesn't come out when I brush my teeth. Please help, I chose the saphire because I knew it wouldn't get stained but...

retainer doesn't fit

Retainer doesn't fit one tooth

I have a permanent and an overnight retainer that I wear religiously. However my teeth still shift. From 0 {content removed} 21 I have had severe lung issues that made me swallow and use my mouth weirdly just so I could breathe. I can not unlearn...

Orthodontic Abroad

Greetings, I hope you are doing well, I am Yosra Gholami, a Ph.D. student at the University of Pittsburgh, School of Medicine. Likewise, I got dental braces in Iran on April 17, 2023, and the wires have been changed three times so far. My question...

My right side molars on top and bottom are lower than the left side. Is this fixable?

My right side molars on both top and bottom are lower than the left side which or placed correctly. I’ve been in braces for over two years now and have not seen any correction in this, despite it being my main concern. My right side profile looks...

Implant bleeding during orthodontic treatment

Hello, I am an adult who had braces as a teen and an implant placed prior to that. The implant is the maxillary right lateral incisor on the top. Now at 40yo I have braces again on my bottom teeth as they have lost their alignment. The braces on...

What should I do about a single miss aligned tooth

Okay so, to explain this I have over crowding in my bottom front set of teeth. Whats happened is you know you have the front 4 teeth, one of the middle teeth to be exact the right middle one has been pushed back into my mouth behind the other 3....