Getting traditional braces after Invisalign
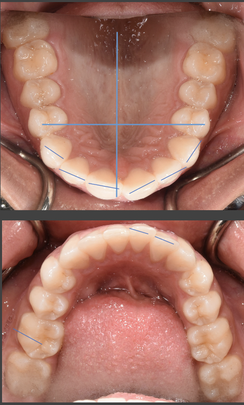
I recently finished my Invisalign treatment and wear my retainers every night however one of the main reasons i decided to get Invisalign was to fix my overbite. After the first 31 trays I told my orthodontist how I wasn’t happy about still having my overbite, he made some refinements but still saw no difference. My teeth are straight but still have an overbite and I feel like my teeth don’t align the way they should. If I get traditional braces, will they fix this problem? Will it be cheaper since my teeth are already straight?
Do you want to answer this question? Login or register now to answer this question.

Answer: Traditional Orthodontics After Invisalign
By Sarah h
Dental Professional
It is unfortunate that your goals and expectations were not met during your treatment. Overbites are usually corrected after alignment with placement and use of rubber bands. This can be accomplished with Invisalign as an advanced movement. Porcelain brackets need to be placed and the aligners fitted properly around the brackets for rubber band attachment. Unfortunately having traditional orthodontics after Invisalign will more than likely not change the cost. Brackets and wires will still need to be placed as well as periodic visits in order to track your progress. Your treatment may or may not be shorter depending on what is needed to accomplish your treatment goals.
More Questions from Dental Braces

How to remove braces glue from teeth?
how can I get the braces glue off I tried everything?

Almost-brodie bite with SFOT. Looking for provider recommendations
I went to my original orthodontist really wanting a wider smile and a fix to my overbite {content removed} sleep apnea. He proposed removing two premolars in order to prepare for double jaw surgery. I had the two lower premolars removed in addition...

Extraction During Braces for Scissor Bite Molar
Hello, i have a simple question regarding braces, over crowding etc. im a 15 year old girl with braces that have been on for 2 years, i have a scissor bite due to a severe crowding case and i have big teeth, i also have an overbite but its not too...

Do I need to wear my retainer for life?
I have had my braces off for 10 years and have been pretty responsible about wearing my retainer. I am tired of it and want to put this part of life behind me. My teeth seem to be staying put. Can I simply stop using it and check to see if the...

I stained my saphire braces..please help
Hi. I got saphire braces 2 weeks ago without any elastic ligatures. Because I am a smoker, the brackets became a visible yellow which doesn't come out when I brush my teeth. Please help, I chose the saphire because I knew it wouldn't get stained but...

Retainer doesn't fit one tooth
I have a permanent and an overnight retainer that I wear religiously. However my teeth still shift. From 0 {content removed} 21 I have had severe lung issues that made me swallow and use my mouth weirdly just so I could breathe. I can not unlearn...

Orthodontic Abroad
Greetings, I hope you are doing well, I am Yosra Gholami, a Ph.D. student at the University of Pittsburgh, School of Medicine. Likewise, I got dental braces in Iran on April 17, 2023, and the wires have been changed three times so far. My question...

My right side molars on top and bottom are lower than the left side. Is this fixable?
My right side molars on both top and bottom are lower than the left side which or placed correctly. I’ve been in braces for over two years now and have not seen any correction in this, despite it being my main concern. My right side profile looks...

Implant bleeding during orthodontic treatment
Hello, I am an adult who had braces as a teen and an implant placed prior to that. The implant is the maxillary right lateral incisor on the top. Now at 40yo I have braces again on my bottom teeth as they have lost their alignment. The braces on...

What should I do about a single miss aligned tooth
Okay so, to explain this I have over crowding in my bottom front set of teeth. Whats happened is you know you have the front 4 teeth, one of the middle teeth to be exact the right middle one has been pushed back into my mouth behind the other 3....