
My inexperienced orthodontist mistake
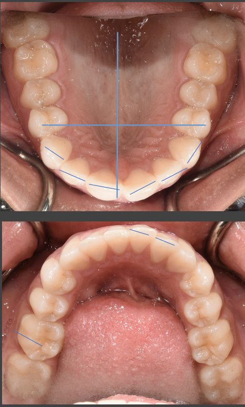
Hello I had my braces for almost three years now, everything was fine. My teeth correction getting better every month, except one tooth of the lower jaw on the right side (the second premolar tooth) was inwards, towards the tongue. The orthodontist didn't make a major work on that tooth for some reason, he kept it to the end of the braces process. Unfortunately my old orthodontist's contract was over, and the clinic replaced him with a new beginner orthodontist. I spoke to the new orthodontist about my lower second premolar tooth how it still inwards and it needs correction. He tried to fix it, to pull it outwards, and he succeeded but what happened is because he put too much pressure on the first molar the tooth next to the second premolar, the molar went inwards, now I have an inwards molar instead. I told him this is not right, he gives me excuses,he can't fix it at this point and blames me for it because I have a missing tooth above the molar. And I'm pretty sure that the problem happened because of the wrong braces work, I'm not stupid. I wish I can send you a picture of my lower jaw to see on your email if you want and if there's possible way to fix the molar tooth without causing other problems. I'll wait for your reply thank you.
Do you want to answer this question? Login or register now to answer this question.

Answer: Orthodontic mistake
By Sarah h
Dental Professional
It is hard to know if the tooth can be corrected without seeing an x-ray, however Orthodontists complete dental school and do an additional four years of training before they can become a board certified orthodontist. If you feel that you are not getting the proper treatment, you can always seek the opinion of another orthodontist. This does not mean you have to transfer your treatment or that your current orthodontist will know you are seeking a second opinion. It is simply for you to know you are receiving the best treatment possible. It is important for you to have this done prior to having your braces removed and retainers fabricated.
More Questions from Dental Braces

How to remove braces glue from teeth?
how can I get the braces glue off I tried everything?

Almost-brodie bite with SFOT. Looking for provider recommendations
I went to my original orthodontist really wanting a wider smile and a fix to my overbite {content removed} sleep apnea. He proposed removing two premolars in order to prepare for double jaw surgery. I had the two lower premolars removed in addition...

Extraction During Braces for Scissor Bite Molar
Hello, i have a simple question regarding braces, over crowding etc. im a 15 year old girl with braces that have been on for 2 years, i have a scissor bite due to a severe crowding case and i have big teeth, i also have an overbite but its not too...

Do I need to wear my retainer for life?
I have had my braces off for 10 years and have been pretty responsible about wearing my retainer. I am tired of it and want to put this part of life behind me. My teeth seem to be staying put. Can I simply stop using it and check to see if the...

I stained my saphire braces..please help
Hi. I got saphire braces 2 weeks ago without any elastic ligatures. Because I am a smoker, the brackets became a visible yellow which doesn't come out when I brush my teeth. Please help, I chose the saphire because I knew it wouldn't get stained but...

Retainer doesn't fit one tooth
I have a permanent and an overnight retainer that I wear religiously. However my teeth still shift. From 0 {content removed} 21 I have had severe lung issues that made me swallow and use my mouth weirdly just so I could breathe. I can not unlearn...

Orthodontic Abroad
Greetings, I hope you are doing well, I am Yosra Gholami, a Ph.D. student at the University of Pittsburgh, School of Medicine. Likewise, I got dental braces in Iran on April 17, 2023, and the wires have been changed three times so far. My question...

My right side molars on top and bottom are lower than the left side. Is this fixable?
My right side molars on both top and bottom are lower than the left side which or placed correctly. I’ve been in braces for over two years now and have not seen any correction in this, despite it being my main concern. My right side profile looks...

Implant bleeding during orthodontic treatment
Hello, I am an adult who had braces as a teen and an implant placed prior to that. The implant is the maxillary right lateral incisor on the top. Now at 40yo I have braces again on my bottom teeth as they have lost their alignment. The braces on...

What should I do about a single miss aligned tooth
Okay so, to explain this I have over crowding in my bottom front set of teeth. Whats happened is you know you have the front 4 teeth, one of the middle teeth to be exact the right middle one has been pushed back into my mouth behind the other 3....