Patches on my gum

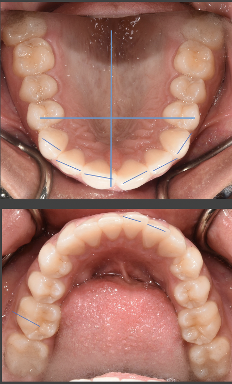
I’ve had braces for two months now and when I’m brushing it hurts my gum on one tooth and I bleed when I floss on that particular tooth and also should I start using mouthwash? And I’ve noticed some black liquid that cam on the back of my toothbrush and stuck on it, I don’t know if that’s what caused it. I’ll put a picture of my tooth brush and my teeth.

Do you want to answer this question? Login or register now to answer this question.

No profile picture

Answer: Patches on gums

By Sarah h
Dental Professional

The patches on your gums are natural from the melanin in your skin.  It is possible that the elastics that hold the wire onto your brackets, which appear black are mixing with toothpaste and creating a "black liquid".  Your tissue appears healthy in the photo you have submitted.  Bleeding can be caused from abrasive brushing as well as a simple food irritation.  If this continues to happen, schedule an appointment with your general dentist or hygienist for a cleaning.  Be sure you are flossing regularly to prevent gingivitis as well.  You should be using a soft bristle toothbrush and replacing it every 2-3 months, especially while in orthodontics.  The bristles should be tight and not frayed. 

More Questions from Dental Braces

How to remove braces glue from teeth?

how can I get the braces glue off I tried everything?

Almost-brodie bite with SFOT. Looking for provider recommendations

I went to my original orthodontist really wanting a wider smile and a fix to my overbite {content removed} sleep apnea. He proposed removing two premolars in order to prepare for double jaw surgery. I had the two lower premolars removed in addition...

Extraction During Braces for Scissor Bite Molar

Hello, i have a simple question regarding braces, over crowding etc. im a 15 year old girl with braces that have been on for 2 years, i have a scissor bite due to a severe crowding case and i have big teeth, i also have an overbite but its not too...

Michelle rabbit braces

Do I need to wear my retainer for life?

I have had my braces off for 10 years and have been pretty responsible about wearing my retainer. I am tired of it and want to put this part of life behind me. My teeth seem to be staying put. Can I simply stop using it and check to see if the...

I stained my saphire braces..please help

Hi. I got saphire braces 2 weeks ago without any elastic ligatures. Because I am a smoker, the brackets became a visible yellow which doesn't come out when I brush my teeth. Please help, I chose the saphire because I knew it wouldn't get stained but...

retainer doesn't fit

Retainer doesn't fit one tooth

I have a permanent and an overnight retainer that I wear religiously. However my teeth still shift. From 0 {content removed} 21 I have had severe lung issues that made me swallow and use my mouth weirdly just so I could breathe. I can not unlearn...

Orthodontic Abroad

Greetings, I hope you are doing well, I am Yosra Gholami, a Ph.D. student at the University of Pittsburgh, School of Medicine. Likewise, I got dental braces in Iran on April 17, 2023, and the wires have been changed three times so far. My question...

My right side molars on top and bottom are lower than the left side. Is this fixable?

My right side molars on both top and bottom are lower than the left side which or placed correctly. I’ve been in braces for over two years now and have not seen any correction in this, despite it being my main concern. My right side profile looks...

Implant bleeding during orthodontic treatment

Hello, I am an adult who had braces as a teen and an implant placed prior to that. The implant is the maxillary right lateral incisor on the top. Now at 40yo I have braces again on my bottom teeth as they have lost their alignment. The braces on...

What should I do about a single miss aligned tooth

Okay so, to explain this I have over crowding in my bottom front set of teeth. Whats happened is you know you have the front 4 teeth, one of the middle teeth to be exact the right middle one has been pushed back into my mouth behind the other 3....