
Sore Jaws, Do I Need Braces?
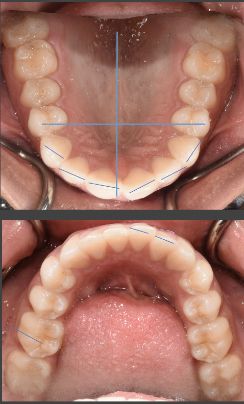
Hi I’ve been having issues with my jaws the feeling of them being extremely sore and I also cannot bite completely down on one of my sides of my mouth my teeth don’t look perfect or good they look “normal” I guess you can call it what would fix this ? Do I need braces ? My friends tell me I have a slight overbite but I can’t physically tell and I also bite the sides of my mouth and the inside of my lip a lot while eating.. what should I do ? I go to the dentist soon but is it best for me to go to a dentist or orthodontist?
Do you want to answer this question? Login or register now to answer this question.

Answer: Edge To Edge
By Sarah h
Dental Professional
From the picture submitted, it appears that you are biting edge to edge, which does need to be addressed and corrected by your orthodontist. It is ideal to mention these symptoms to your dentist at your check up appointment. Your jaw should not be sore on a regular basis. This could be a symptoms of a dysfunctional temporomandibular joint (TMJ). While the small spaces are more cosmetic, the uneven bite, soreness and inability to completely close on one side all raise red flags. Its best to correct these issues now, rather than to wait for them to worsen or for restorative treatment to be needed in addition to orthodontics due to wear patterns.
More Questions from Dental Braces

How to remove braces glue from teeth?
how can I get the braces glue off I tried everything?

Almost-brodie bite with SFOT. Looking for provider recommendations
I went to my original orthodontist really wanting a wider smile and a fix to my overbite {content removed} sleep apnea. He proposed removing two premolars in order to prepare for double jaw surgery. I had the two lower premolars removed in addition...

Extraction During Braces for Scissor Bite Molar
Hello, i have a simple question regarding braces, over crowding etc. im a 15 year old girl with braces that have been on for 2 years, i have a scissor bite due to a severe crowding case and i have big teeth, i also have an overbite but its not too...

Do I need to wear my retainer for life?
I have had my braces off for 10 years and have been pretty responsible about wearing my retainer. I am tired of it and want to put this part of life behind me. My teeth seem to be staying put. Can I simply stop using it and check to see if the...

I stained my saphire braces..please help
Hi. I got saphire braces 2 weeks ago without any elastic ligatures. Because I am a smoker, the brackets became a visible yellow which doesn't come out when I brush my teeth. Please help, I chose the saphire because I knew it wouldn't get stained but...

Retainer doesn't fit one tooth
I have a permanent and an overnight retainer that I wear religiously. However my teeth still shift. From 0 {content removed} 21 I have had severe lung issues that made me swallow and use my mouth weirdly just so I could breathe. I can not unlearn...

Orthodontic Abroad
Greetings, I hope you are doing well, I am Yosra Gholami, a Ph.D. student at the University of Pittsburgh, School of Medicine. Likewise, I got dental braces in Iran on April 17, 2023, and the wires have been changed three times so far. My question...

My right side molars on top and bottom are lower than the left side. Is this fixable?
My right side molars on both top and bottom are lower than the left side which or placed correctly. I’ve been in braces for over two years now and have not seen any correction in this, despite it being my main concern. My right side profile looks...

Implant bleeding during orthodontic treatment
Hello, I am an adult who had braces as a teen and an implant placed prior to that. The implant is the maxillary right lateral incisor on the top. Now at 40yo I have braces again on my bottom teeth as they have lost their alignment. The braces on...

What should I do about a single miss aligned tooth
Okay so, to explain this I have over crowding in my bottom front set of teeth. Whats happened is you know you have the front 4 teeth, one of the middle teeth to be exact the right middle one has been pushed back into my mouth behind the other 3....