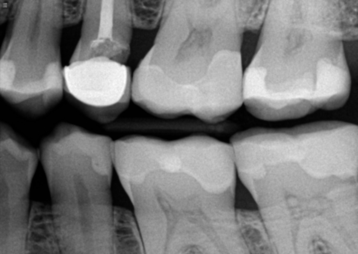
Cavity under crown or ill fitted crown?

I have received conflicting opinions on a tooth: one dentist said it is cavity under the crown and treatment could be crown lengthening/dental implant while other dentist said there is no cavity, it's just ill fitted crown. Is this something we can see in Xray?

Do you want to answer this question? Login or register now to answer this question.

No profile picture

Answer: ill fitting crown

By Sarah h
Dental Professional

At minimum the crown needs to be replaced.  The distal (back) side of the tooth is radiolucent, which indicates there is an open space.  Usually, a space this large, indicates that there is recurrent caries present.  The only way to be certain is to remove the crown and diagnose it from there.  You do not want to leave it how it is, it will continue to worsen or if its an ill fitting crown, decay will develop.  Since the tooth has had a root canal, it will not hurt, however a secondary infection could develop.  Crown lengthening is only performed on a natural tooth.  If the tooth cannot be restored, an implant is the best option after the tooth is removed. 

More Questions from Crowns

Proper positioning

My bottom teeth are touching against the back of my top teeth. With more pressure than normal when I close my mouth naturally. If I got crowns could it position my teeth in a way where I can close my mouth naturally with less pressure against my...

time required for crowns.

I am from out of state and planning on coming to utah to get two crowns put in. They are both on the top of my mouth. How long does it take to get the permanent crown after getting the temporary in? And can I have two crowns on the different side of...

Small teeth?

Hi! I don't know if this is the right place to come for advice lol, but okay so my back teeth are smaller than my four front teeth, and also pointy. if that makes sense? and it makes it to where i have gaps in the back on the top, noticeable too. I...

My root canal crown has fell off again after a little over a month . Now it is hurting why is that?

Hi . My crown fell off my root canal . I had the root canal done a little over a month ago . A week later the crown fell off . I went back and they put a new crown on . But now it fell off . The root canal tooth also seems to hurt in a way . Its red...

too big crown

Fist, the dentist made a temporary crown on tooth number 31. After the injection, all my jaw was numbed and even my tongue for three weeks. After these, all my tooth starts to be in pain, especially tooth number 5. I said these to the doctor, and...

Can I get dental bonding over a crown that I’m not satisfied with?

Can I do dental bonding over a crown I’m not satisfied with? I have 4 crowns on my front teeth and I they are nice but they could be better. However, I don’t want to spend money on crowns again. They’re too expensive even with insurance.

Dental Crowns

I was asked to get crown for my 3 years old's bicuspids teeth. She had a bit cavity and doctor said it will worse later. To avoid it he suggests to put crowns on two of her tooth. I was concerned if a crown will be still fit to her teeth after 3...

Cavity under crown or ill fitted crown?

I have received conflicting opinions on a tooth: one dentist said it is cavity under the crown and treatment could be crown lengthening/dental implant while other dentist said there is no cavity, it's just ill fitted crown. Is this something we can...

Bridge crown discomfort

when I wear my night guard retainer I feel an ache underneath a bridge This is a new retainer and I had not experienced this type of discomfort with my old retainer. The discomfort goes away after I remove the retainer Of note is the fact that the...

Info regarding your cost estimate

On the page titled "Average Cost & Price of Crowns and Bridges in Chicago Illinois" it's not clear to me whether this the materials and labor i.e. including the examination, preparation and cementing of the crown in place or not. i.e. is this...