Cemented Dental Bridges - Constant Pain..

Full mouth - Cemented Porcelain Dental Bridges, with Titanium metal on the inside. Procedure done in Belgrade, Serbia. About a Month and a week later, continuous pain, that starts in the jaw bone and moves to the front of the mouth, causing all teeth to throb in pain. Certain teeth are sensitive to the touch or biting hard foods. All teeth are VERY sensitive to Hot and Cold. If one of the two extremes irritate the teeth, pain is still there even after the irritant is no longer there. Pain wakes me up from sleep or naps. Pain worsens if laying flat, propped up is the only way to sleep even for a couple hours. There is no swelling or gum swelling. Just PAIN. I had been put on penicillin 500mg, 3x a day, for two weeks. It did nothing to ease the pain or times of discomfort. Doctor has prescribe Percocet 5mg, 3x a day as needed. Please, someone tell me what is POSSIBLY wrong here? Doctor even says there is no infection, what is wrong and will this pain subside? Thank you!

No answers so far.

Do you want to answer this question? Login or register now to answer this question.

More Questions from Bridges

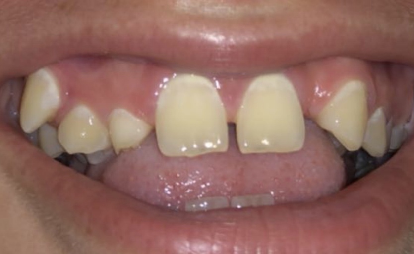
Missing Canines

Hi there, my daughter has had a missing canine tooth for 4 years now. This has caused a gap in the front teeth. The other canine is a baby, with no adult tooth to grow in. The space where the missing canine tooth is not big enough for an implant....

Fix Crooked Teeth

hi im looking for the cheapest way to straighten my top teeth i have straight front 2 teeth but my teeth ever side are behind my front 2 teeth and my fang teeth are also out of line have attached photos i am happy and willing to have teeth removed...

What is the best prosthesis for speech purposes?

This question is asked on behalf of speech for actors/ presenters/ performers/ and public speakers who are dealing with loss of upper right 2nd premolars. Can you please rank the best prosthesis based on comfortable tongue movement for articulate...

Maryland Bridge replacement

I have had a gold Maryland bridge for 30 years, teeth 29-31. 31 is the full crown. I am having sensitivity in and around 31 and cannot chew on it. What treatment options do I have? It seems such a waste to remove the entire bridge. I am 62 and...

I think mistakes were made with my bridge; now it broke and more mistakes were made with the repair?

Hello, I recently had a bridge break and the dentist elected to repair it instead of replace it. I have two major concerns... The first involves the bridge breaking. One of the end teeth on the bridge chipped off at the top edge after my latest...

Fractured tooth with gum growth

Hi I am have had two root canal treatments of my second molar tooth next to wisdom tooth and i had a bridge on it. Recently i have had chips of tooth breaking off from the hole created on the crown for the second root canal treatment and today the...

Will a bridge hold on the front

I'm miss four teeth on the right side of my mouth (the front tooth is still there). My doctor said I need 4 implants, which I can't afford. I went for a second a opinion. He said that I can get a bridge, because the two end teeth are there. One...

Should I be in this much pain after a bridge placed?

I am 30 years old, no health problems. I have had several fillings throughout the last several years d/t not taking care of my teeth as a kid. I also had invisalign for 2 year which I finished last year. I wear a retainer at night. I have a high...

Which is better to replace a bridge now over 3 teeth- a longer bridge or 2 implants.

The teeth referred to in the title question are in the upper left portion of my mouth on the side but towards the front. I have been told that I need either a long bridge or 2 implants to replace a bridge that has to be removed in order to...

What is an acceptable range for a gap under the pontic on a bridge?

I recently had a bridge placed on my upper jaw and the gap under the pontic is large enough to pass a toothpick through easily(food constantly gets trapped there), it seems excessive to me, what is the normal range of gap under the bridge? Another...