
Fix Crooked Teeth
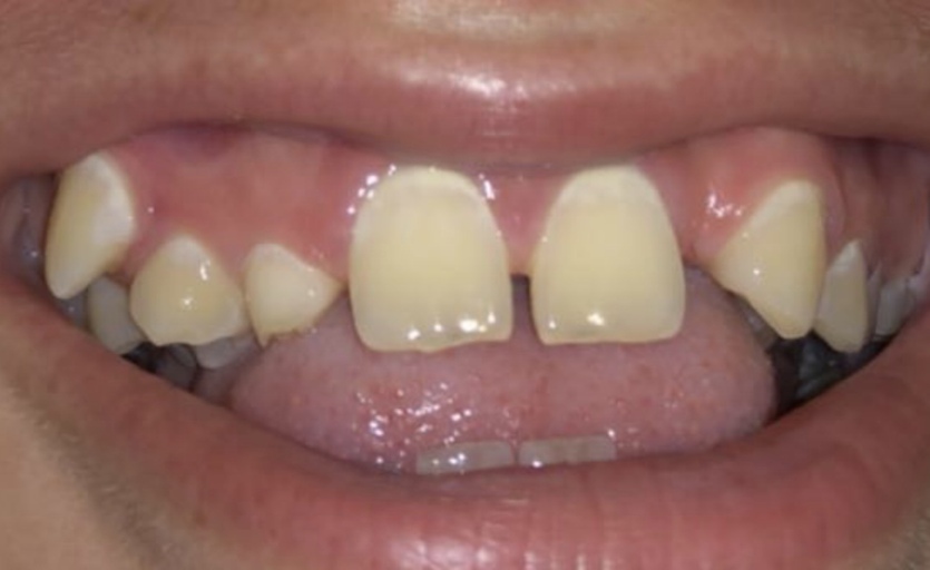
hi im looking for the cheapest way to straighten my top teeth i have straight front 2 teeth but my teeth ever side are behind my front 2 teeth and my fang teeth are also out of line have attached photos i am happy and willing to have teeth removed and something like a dental bridge or what ever is affordable i have never been able to bring my self to smile or even take care of my teeth because I hate them and it is affecting my daily life So please any option is a good one
Do you want to answer this question? Login or register now to answer this question.

Answer: Correcting crowding
By Sarah h
Dental Professional
I am sorry you are not confident in your smile. Changing your smile will change so many things for you in life, especially your confidence. It is best not to remove teeth of possible. The easy solution for crowding seems to always be to remove teeth, however it is not the best long term. Orthodontic treatment can help you achieve the straight smile you have longed for while preserving your natural teeth. Straight teeth are naturally more healthy and can always be whitened if you choose. The process is longer, however the benefits are far greater than removing any teeth. Clear aligner therapy may be an option which would allow you to straighten your teeth without having the traditional wires and brackets bonded to your teeth. Start with an orthodontic consultation first to have a variety of options and an idea of your time commitment and cost.
More Questions from Bridges

Missing Canines
Hi there, my daughter has had a missing canine tooth for 4 years now. This has caused a gap in the front teeth. The other canine is a baby, with no adult tooth to grow in. The space where the missing canine tooth is not big enough for an implant....

Fix Crooked Teeth
hi im looking for the cheapest way to straighten my top teeth i have straight front 2 teeth but my teeth ever side are behind my front 2 teeth and my fang teeth are also out of line have attached photos i am happy and willing to have teeth removed...

What is the best prosthesis for speech purposes?
This question is asked on behalf of speech for actors/ presenters/ performers/ and public speakers who are dealing with loss of upper right 2nd premolars. Can you please rank the best prosthesis based on comfortable tongue movement for articulate...

Maryland Bridge replacement
I have had a gold Maryland bridge for 30 years, teeth 29-31. 31 is the full crown. I am having sensitivity in and around 31 and cannot chew on it. What treatment options do I have? It seems such a waste to remove the entire bridge. I am 62 and...

I think mistakes were made with my bridge; now it broke and more mistakes were made with the repair?
Hello, I recently had a bridge break and the dentist elected to repair it instead of replace it. I have two major concerns... The first involves the bridge breaking. One of the end teeth on the bridge chipped off at the top edge after my latest...

Fractured tooth with gum growth
Hi I am have had two root canal treatments of my second molar tooth next to wisdom tooth and i had a bridge on it. Recently i have had chips of tooth breaking off from the hole created on the crown for the second root canal treatment and today the...

Will a bridge hold on the front
I'm miss four teeth on the right side of my mouth (the front tooth is still there). My doctor said I need 4 implants, which I can't afford. I went for a second a opinion. He said that I can get a bridge, because the two end teeth are there. One...

Should I be in this much pain after a bridge placed?
I am 30 years old, no health problems. I have had several fillings throughout the last several years d/t not taking care of my teeth as a kid. I also had invisalign for 2 year which I finished last year. I wear a retainer at night. I have a high...

Which is better to replace a bridge now over 3 teeth- a longer bridge or 2 implants.
The teeth referred to in the title question are in the upper left portion of my mouth on the side but towards the front. I have been told that I need either a long bridge or 2 implants to replace a bridge that has to be removed in order to...

What is an acceptable range for a gap under the pontic on a bridge?
I recently had a bridge placed on my upper jaw and the gap under the pontic is large enough to pass a toothpick through easily(food constantly gets trapped there), it seems excessive to me, what is the normal range of gap under the bridge? Another...