Crooked Teeth
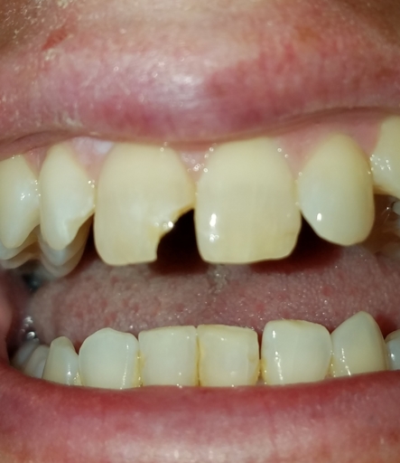
Ever since I was a child, I have always crooked teeth. Even after i lost all my baby teeth, they where still very crooked. For years, my family has been telling me that they will straighten out over time. I got three of my wisdom teeth removed about four months ago. Before i could get the fourth one removed, i lost my insurance. I am currently waiting for my paperwork to go through so i can get the last wisdom tooth removed, as it is the worst of all of them. I got both top wisdom teeth and the right bottom tooth removed and will soon get the left bottom tooth cut out. Even after months of getting these teeth removed, it seems my crooked bottom teeth have not straightened out. One of the teeth is almost completely sideways, causing another to jut out of my gum line. How do I determine if my teeth are too bad to be fixed by braces? And if they are, how can they be fixed? If this makes a difference, I have severe Bruxism, although my night guard no longer fits due to changes in my teeth.
Do you want to answer this question? Login or register now to answer this question.

Answer: braces good idea
By
The purpose of braces is to straighten teeth! So, your in luck. Even if your teeth are turned sideways there are ways to correct that with braces. If you are really crowded the orthodontist may send you to have some teeth even removed besides your wisdom teeth that were. They will put braces on the top an bottom and slowy adjust your teeth to the correct position as needed. A normal treatment time takes about 24 months. It can take longer if you have a more complex case. The braces may even help with the grinding. Your bite may be off causing it to be worst then it is. After the bracse treatment is complete they will make you retainers. You can ask for essix retainers the clear ones that will also aid in the grinding. I suggest go for a orthodontic consult which is normally free of charge to see what they say. You are a good canidate for braces though!
More Questions from Dental Restoration

Can mouth breathing affect the way the face grows. Ex: forward growth of face if you did at a young age
Hey I have a question on whether mouthbreathing affects the way the face grows, does it make the face grow downwards instead of forwards because of lack of support of tongue or is it it genetics since i too have a longer grownface compared to my...

Can mouth breathing affect the way the face grows ex.forward growth of face if you did at a young ag
Does mouth breathing affect the way the face grows like the forward growth of it as a kid my nose was broken and i breathed through nose so is it possible tht it affected my face growth or is it all genetics?

Alternative to a reverse pull headgear for underbite?
So, a reverse pull head gear pulls out the maxilla in order to harmonize with an overly protrusive lower jaw. But my daughter says she doesn't want that to happen. Is there an alternative head gear that instead pulls the lower jaw backwards in order...

Broken tooth help
I have a question about when and how to bond my front teeth. I face planted in the street from riding like a moped with no helmet in cracked chipped two teeth. The one is minimal and the front one is about 15% have a corner of the tooth. It's been a...

Bad veneer bad bite
I got 6 veneers on my front teeth in December. They do not fit...not the same as acrylic temps. Now have excruciating jaw pain. I also left that dentist, went to my primary dentist and he filed on some of my back teeth to relieve pain. Now as I...

Get my teeth to normal
My thorns have grown higher than the ones on the bottom. What can I do get them to a normal level or adjust them? Do I need braces or will they eventually adjust on their own? I feel insecure about it because every time I smile it pops like I’m...

Should this tooth be refilled
I was wondering if you think this tooth should have a new filling put in it or leave it alone. It has been sensitive every now and then but don't bother to much. If it were to be refilled what would be the best filling to replace it with

Deterioration of composite resin fillings after only a few weeks/months?
So some quick background, I hadn't been to a dentist in about a decade (I'm 30 if that matters) till this past January. Hadn't had any problems or noticeable cavities till about a year/year and a half ago, when a fair few seemed to pop up all at...

How can I get rid of deep set stain on front tooth caused by absess while tooth was growing
I have a deep stain on my front tooth, ive been bullied about it ever since I was in school and im very self concious about it. My dentist tried to patch it up which still wouldnt hide the stain, any options of what I can do to get rid of it that...

Crooked teeth options other then braces or Invisalign
My two lateral incisors are receded behind my two front teeth all the rest of my teeth are straight. I'm tryin to figure out my best option to get a quick smile make over I'd like to just have them pulled and put two implants in so they are...