CROWN STRUCTURE BROKEN

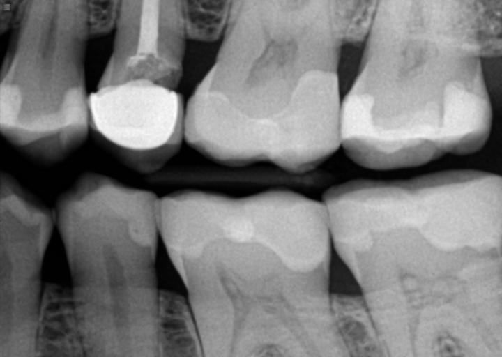
My first molar crown came off due to a broken tooth root structure, thus leaving a deep cavity, with very short and small root pieces protruding out of the cavity. Each time I eat, food accumulates in the cavity; thus, I clean well the cavity after each meal, which is causing gum inflammation in the perimeter. Also, I have not had the adjacent piece (premolar) for a long time, which has never bothered me. Pease give me your best advice, considering I would like to cover the cavity permanently in order to avoid food accumulation. Note, I wish to avoid any invasive procedures, such as implant, or the constant discomfort of having a bridge. Thank you

Do you want to answer this question? Login or register now to answer this question.

No profile picture

Answer: Dental Restoration

By Sarah h
Dental Professional

The first step is to have a dental radiograph taken in order to determine if the tooth or teeth are restorable. If they are broken at the gum line as a result of extensive decay, the decay may be on the root surfaces, below the level of the bone. With this type of decay, the long term prognosis is poor and extensive dental treatment would be needed in order to save the teeth. If there isn't root caries present, the teeth may be restorable with full coverage crowns. The longer you wait, the more tooth structure you will loose. This will lead to more necessary dental treatment or unwanted periodontal issues. It is better to go sooner in order to have multiple options for restoring your teeth.

More Questions from Crowns

Proper positioning

My bottom teeth are touching against the back of my top teeth. With more pressure than normal when I close my mouth naturally. If I got crowns could it position my teeth in a way where I can close my mouth naturally with less pressure against my...

time required for crowns.

I am from out of state and planning on coming to utah to get two crowns put in. They are both on the top of my mouth. How long does it take to get the permanent crown after getting the temporary in? And can I have two crowns on the different side of...

Small teeth?

Hi! I don't know if this is the right place to come for advice lol, but okay so my back teeth are smaller than my four front teeth, and also pointy. if that makes sense? and it makes it to where i have gaps in the back on the top, noticeable too. I...

My root canal crown has fell off again after a little over a month . Now it is hurting why is that?

Hi . My crown fell off my root canal . I had the root canal done a little over a month ago . A week later the crown fell off . I went back and they put a new crown on . But now it fell off . The root canal tooth also seems to hurt in a way . Its red...

too big crown

Fist, the dentist made a temporary crown on tooth number 31. After the injection, all my jaw was numbed and even my tongue for three weeks. After these, all my tooth starts to be in pain, especially tooth number 5. I said these to the doctor, and...

Can I get dental bonding over a crown that I’m not satisfied with?

Can I do dental bonding over a crown I’m not satisfied with? I have 4 crowns on my front teeth and I they are nice but they could be better. However, I don’t want to spend money on crowns again. They’re too expensive even with insurance.

Dental Crowns

I was asked to get crown for my 3 years old's bicuspids teeth. She had a bit cavity and doctor said it will worse later. To avoid it he suggests to put crowns on two of her tooth. I was concerned if a crown will be still fit to her teeth after 3...

Cavity under crown or ill fitted crown?

I have received conflicting opinions on a tooth: one dentist said it is cavity under the crown and treatment could be crown lengthening/dental implant while other dentist said there is no cavity, it's just ill fitted crown. Is this something we can...

Bridge crown discomfort

when I wear my night guard retainer I feel an ache underneath a bridge This is a new retainer and I had not experienced this type of discomfort with my old retainer. The discomfort goes away after I remove the retainer Of note is the fact that the...

Info regarding your cost estimate

On the page titled "Average Cost & Price of Crowns and Bridges in Chicago Illinois" it's not clear to me whether this the materials and labor i.e. including the examination, preparation and cementing of the crown in place or not. i.e. is this...