Filling received one month ago still very sensitive and painful.
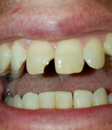
Hi there, Over four weeks ago, I received composite fillings in about 16 teeth. I just got out of braces about two months ago, am in a vacuum formed retainer (no issues until now), and decided to get some fillings replaced and address some new areas of decay. Nearly all of the fillings I've received are around the gum line. (My teeth were misaligned for many years, causing gum recession and exposure of tooth areas with thinner enamel.) Even considering the number of fillings I received, a couple of which were pretty deep, I had very little sensitivity or irritation following the procedure - except in one tooth! This tooth is directly behind one of my upper canines. The first week after the filling I experienced sensitivity to hot, cold, sugar, air, and pressure that increased throughout the week. The sensitivity from each exposure lasted longer and longer until my tooth was throbbing constantly for hours, with pain reaching up through the nerve, into the gum, and into my face. No visible swelling, though. Ice and Aleve helped the pain and throbbing. I saw the dentist one week after my original procedure. He took a quick look at the tooth and told me that this was "weird" since the filling wasn't that deep in this tooth and the tooth was otherwise unremarkable. He painted all surfaces of the tooth with a fluoride varnish and sent me on my way. It didn't help. It is now almost a month post-procedure. The issue has not gotten worse, but it has gotten only slightly better over this time - I'd say I'm at 80% of the sensitivity/pain levels that I was a month ago. Also, a new problem has arisen. Keeping in mind that I wear m retainer absolutely every night, I've noticed that it doesn't seem to fit as well and some of my teeth feel as though they are moving very slightly every day (it's like less extreme version of the sensation I got when I had braces). I am aware that the inside of the tooth and the nerve can be very excited when getting a filling - sometimes too much so resulting in the death of the tooth. However, I did not think this was likely if the decay (and filling) were not close to the root, which my dentist said they were not in this particular tooth. I also am aware that a filling can be "high" causing pain and sensitivity, but the filling I received in this tooth was along the gumline. I know that placing a composite filling is a multi-step procedure, involving drilling out traces of decay or old fillings, layering various materials in the hole, and then curing those materials. I'm wondering if something might have gone wrong with the process for this tooth and, if so, this could cause the same symptoms I'm having. If this is the case, is there any remedy? Also, I think that the final shape of the composite fillings might have changed the shape of my teeth enough that my retainer no longer fits quite right, resulting in the the movement-feelings I'm getting. I can't imagine it would be easy for the dentist to rectify this, especially since the movement-sensation is coming from a number of teeth. I hate to think it, but maybe I need to get a whole new retainer! I'd appreciate any thoughts you might have. Of course, I am going back to my dentist to tell him what I've written here. Since he didn't give me any kind of contingency plan at my last appointment (i.e. if this varnish doesn't work we can try this or that) and referred to this situation as "weird", I'm not very confident that he can help me. If not, I'll have to see someone else, since this is obviously intolerable. Thoughts?
Do you want to answer this question? Login or register now to answer this question.

Answer: Sensitive filling
By Sarah h
Dental Professional
Glad to hear you are making an appointment for the treating dentist to re-evaluate the tooth. It sounds like the dentist did the most conservative treatment possible, which is great. Be sure to bring your retainer to the appointment, if the dentist needs to polish or smooth any of the restorations to ensure the retainer is seating in the mouth properly, this can be accomplished at the evaluation appointment. You are experiencing a form of pulpitis, or inflammation of the nerve. It can be reversible, in which time, a medicated temporary filling material such as IRM, an anti-inflammatory, or a desensitizer can be used to help calm the nerve and alleviate the problem. However, it can also be irreversible, in which case the nerve is too damaged and a root canal will need to be performed. Sometimes, even when we treat a tooth before the patient has symptoms, the nerve has already been insulted, which causes pain after the procedure. You are correct when saying restorative treatment alone can damage a nerve, however, It is usually very unlikely for this to occur when a dentist takes all proper precautions. Keep in mind also that each tooth is unique and what one tooth can heal from, another may be unable to. The fact hat it is getting better, even a small amount is a good sign and sometimes, even though it's tough, time is all the tooth needs to recover from not only the orthodontics and recession , but from the restoration as well, sounds like you are doing everything correctly and I'm sure your treating dentist will be able to alleviate the symptoms and treat the tooth at your visit.
More Questions from Dental Restoration

Can mouth breathing affect the way the face grows. Ex: forward growth of face if you did at a young age
Hey I have a question on whether mouthbreathing affects the way the face grows, does it make the face grow downwards instead of forwards because of lack of support of tongue or is it it genetics since i too have a longer grownface compared to my...

Can mouth breathing affect the way the face grows ex.forward growth of face if you did at a young ag
Does mouth breathing affect the way the face grows like the forward growth of it as a kid my nose was broken and i breathed through nose so is it possible tht it affected my face growth or is it all genetics?

Alternative to a reverse pull headgear for underbite?
So, a reverse pull head gear pulls out the maxilla in order to harmonize with an overly protrusive lower jaw. But my daughter says she doesn't want that to happen. Is there an alternative head gear that instead pulls the lower jaw backwards in order...

Broken tooth help
I have a question about when and how to bond my front teeth. I face planted in the street from riding like a moped with no helmet in cracked chipped two teeth. The one is minimal and the front one is about 15% have a corner of the tooth. It's been a...

Bad veneer bad bite
I got 6 veneers on my front teeth in December. They do not fit...not the same as acrylic temps. Now have excruciating jaw pain. I also left that dentist, went to my primary dentist and he filed on some of my back teeth to relieve pain. Now as I...

Get my teeth to normal
My thorns have grown higher than the ones on the bottom. What can I do get them to a normal level or adjust them? Do I need braces or will they eventually adjust on their own? I feel insecure about it because every time I smile it pops like I’m...

Should this tooth be refilled
I was wondering if you think this tooth should have a new filling put in it or leave it alone. It has been sensitive every now and then but don't bother to much. If it were to be refilled what would be the best filling to replace it with

Deterioration of composite resin fillings after only a few weeks/months?
So some quick background, I hadn't been to a dentist in about a decade (I'm 30 if that matters) till this past January. Hadn't had any problems or noticeable cavities till about a year/year and a half ago, when a fair few seemed to pop up all at...

How can I get rid of deep set stain on front tooth caused by absess while tooth was growing
I have a deep stain on my front tooth, ive been bullied about it ever since I was in school and im very self concious about it. My dentist tried to patch it up which still wouldnt hide the stain, any options of what I can do to get rid of it that...

Crooked teeth options other then braces or Invisalign
My two lateral incisors are receded behind my two front teeth all the rest of my teeth are straight. I'm tryin to figure out my best option to get a quick smile make over I'd like to just have them pulled and put two implants in so they are...