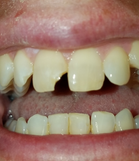
Lost enamel Fix?
What can be done for teeth that have lost enamel to the point of exposed dentin
Do you want to answer this question? Login or register now to answer this question.
 
															Answer: Can get a porcelain cover and or cap
By  
You must see a dentist so they can determine how much enamel you have lost on the tooth. There can be two alternative. One of them can be by putting a porcelain cover over the whole tooth. or having a porcelain cap which covers the whole tooth. Like I said, you need to see a dentist so they can determine how much loss of enamel and suggest the best solution. Good Luck
More Questions from Dental Restoration
 
									
				                Can mouth breathing affect the way the face grows. Ex: forward growth of face if you did at a young age
Hey I have a question on whether mouthbreathing affects the way the face grows, does it make the face grow downwards instead of forwards because of lack of support of tongue or is it it genetics since i too have a longer grownface compared to my...
 
									
				                Can mouth breathing affect the way the face grows ex.forward growth of face if you did at a young ag
Does mouth breathing affect the way the face grows like the forward growth of it as a kid my nose was broken and i breathed through nose so is it possible tht it affected my face growth or is it all genetics?
 
									
				                Alternative to a reverse pull headgear for underbite?
So, a reverse pull head gear pulls out the maxilla in order to harmonize with an overly protrusive lower jaw. But my daughter says she doesn't want that to happen. Is there an alternative head gear that instead pulls the lower jaw backwards in order...
 
									
				                Broken tooth help
I have a question about when and how to bond my front teeth. I face planted in the street from riding like a moped with no helmet in cracked chipped two teeth. The one is minimal and the front one is about 15% have a corner of the tooth. It's been a...
 
									
				                Bad veneer bad bite
I got 6 veneers on my front teeth in December. They do not fit...not the same as acrylic temps. Now have excruciating jaw pain. I also left that dentist, went to my primary dentist and he filed on some of my back teeth to relieve pain. Now as I...
 
									
				                Get my teeth to normal
My thorns have grown higher than the ones on the bottom. What can I do get them to a normal level or adjust them? Do I need braces or will they eventually adjust on their own? I feel insecure about it because every time I smile it pops like I’m...
 
									
				                Should this tooth be refilled
I was wondering if you think this tooth should have a new filling put in it or leave it alone. It has been sensitive every now and then but don't bother to much. If it were to be refilled what would be the best filling to replace it with
 
									
				                Deterioration of composite resin fillings after only a few weeks/months?
So some quick background, I hadn't been to a dentist in about a decade (I'm 30 if that matters) till this past January. Hadn't had any problems or noticeable cavities till about a year/year and a half ago, when a fair few seemed to pop up all at...
 
									
				                How can I get rid of deep set stain on front tooth caused by absess while tooth was growing
I have a deep stain on my front tooth, ive been bullied about it ever since I was in school and im very self concious about it. My dentist tried to patch it up which still wouldnt hide the stain, any options of what I can do to get rid of it that...
 
									
				                Crooked teeth options other then braces or Invisalign
My two lateral incisors are receded behind my two front teeth all the rest of my teeth are straight. I'm tryin to figure out my best option to get a quick smile make over I'd like to just have them pulled and put two implants in so they are...
