My teeth hurt under my bridge what to do?
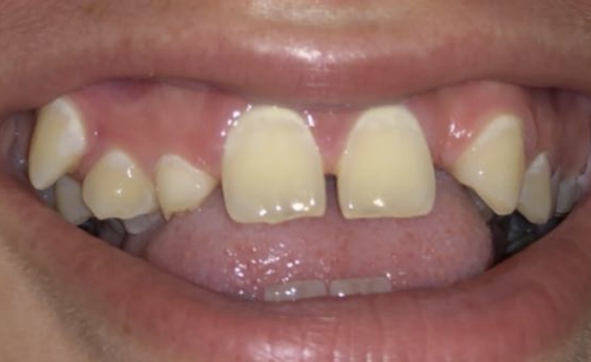
i had 4 years of braces and was not born with my upper lateral incisors. the orthodontist moved my canine teeth to where my laterals would of been with bands then after they were moved where he wanted them to be sent me to a dentist to have two bridges made for me. they placed them in and everyting was good. this was about 5 years ago. now my two frint teeth are starting to shift one is longer than the other and seems like my bridges stick out more put the worst is that when i eat anything hot col or sweet it seems like it gets under my bridges and a horrible pain will shoot through my while mouth and i even get a distgusting taste in my mouth ffrom time to time.i also noticed that when i was flossing my bridges (which i always use a threader to thread the floss through the teeth) my floss slide through two of my fake teeth on the bridge which tells me my bridge is broken. i dont have alot of money i was just wonderign what is going on with my mouth and what could be done to fix this is the most cost effective way. i wouldnt even mind making payments but i would love to have the bridges re done because they dont even look as good as they did what would be my options?
Do you want to answer this question? Login or register now to answer this question.

Answer: See a dentist to have bridge fix before more problems occur
By
It is common when you are missing teeth, the orthodontist will make room and you had a bridge to replace the missing teeth. From what you wrote, it sounds like your bridge is broken and you need to see the dentist so they can correct it before more damage is done to your gums and surrounding teeth. Most dentist will take payment plans, and you need to find one that does. Keep cleaning it as best as you can with the floss threader. The reason you sometimes get shooting pain is because your teeth under the bridge is exposed and has no enamel on the tooth which makes it very very sensitive..The bad taste is also due to that everything is exposed and sometimes you will get food stuck in there causing a terrible taste and odor. When you got your braces off, they should have given you a retainer to keep your teeth in proper position until your teeth and gums harden, it takes a good year after removal of all braces for your teeth and gums to firm up from all the moving. That is why its important to wear your retainer full time for the first year, otherwise your teeth will shift. Good Luck
More Questions from Bridges

Missing Canines
Hi there, my daughter has had a missing canine tooth for 4 years now. This has caused a gap in the front teeth. The other canine is a baby, with no adult tooth to grow in. The space where the missing canine tooth is not big enough for an implant....

Fix Crooked Teeth
hi im looking for the cheapest way to straighten my top teeth i have straight front 2 teeth but my teeth ever side are behind my front 2 teeth and my fang teeth are also out of line have attached photos i am happy and willing to have teeth removed...

What is the best prosthesis for speech purposes?
This question is asked on behalf of speech for actors/ presenters/ performers/ and public speakers who are dealing with loss of upper right 2nd premolars. Can you please rank the best prosthesis based on comfortable tongue movement for articulate...

Maryland Bridge replacement
I have had a gold Maryland bridge for 30 years, teeth 29-31. 31 is the full crown. I am having sensitivity in and around 31 and cannot chew on it. What treatment options do I have? It seems such a waste to remove the entire bridge. I am 62 and...

I think mistakes were made with my bridge; now it broke and more mistakes were made with the repair?
Hello, I recently had a bridge break and the dentist elected to repair it instead of replace it. I have two major concerns... The first involves the bridge breaking. One of the end teeth on the bridge chipped off at the top edge after my latest...

Fractured tooth with gum growth
Hi I am have had two root canal treatments of my second molar tooth next to wisdom tooth and i had a bridge on it. Recently i have had chips of tooth breaking off from the hole created on the crown for the second root canal treatment and today the...

Will a bridge hold on the front
I'm miss four teeth on the right side of my mouth (the front tooth is still there). My doctor said I need 4 implants, which I can't afford. I went for a second a opinion. He said that I can get a bridge, because the two end teeth are there. One...

Should I be in this much pain after a bridge placed?
I am 30 years old, no health problems. I have had several fillings throughout the last several years d/t not taking care of my teeth as a kid. I also had invisalign for 2 year which I finished last year. I wear a retainer at night. I have a high...

Which is better to replace a bridge now over 3 teeth- a longer bridge or 2 implants.
The teeth referred to in the title question are in the upper left portion of my mouth on the side but towards the front. I have been told that I need either a long bridge or 2 implants to replace a bridge that has to be removed in order to...

What is an acceptable range for a gap under the pontic on a bridge?
I recently had a bridge placed on my upper jaw and the gap under the pontic is large enough to pass a toothpick through easily(food constantly gets trapped there), it seems excessive to me, what is the normal range of gap under the bridge? Another...