Shortened teeth, possibly from acid wear. If lengthened, will they feel like natural teeth?
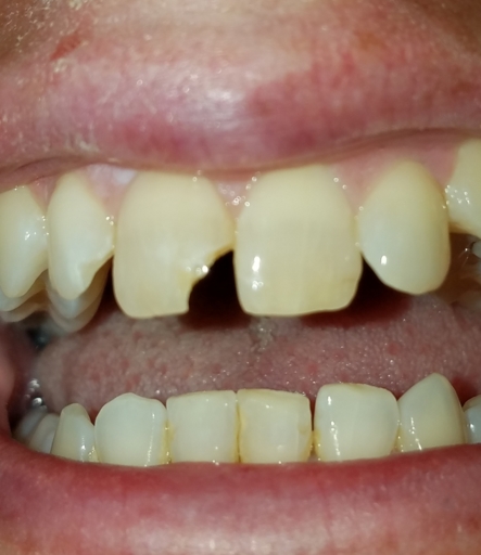
21 and have quite short teeth. Drank hot diluted lemon juice 3 times a day over the past year and believe the acid took away 1mm of tooth enamel. I can\'t believe I did this and wondered if my teeth will ever be as they were 10 years ago again (when they were much longer, giving me a big smile). Can my teeth be restored to their original form which short teeth as bases? To me they look stumpy but my dentist says the \'proportions\' of the teeth are correct. I wonder if they won\'t feel the same because the base has been shortened.
Do you want to answer this question? Login or register now to answer this question.

Answer: acid erosion
By Sarah h
Dental Professional
Your teeth can definitely be restored to their normal height with cosmetic restorations such as bonding, porcelain veneers or crowns. As far as feeling the same, that may or may not be something that you will get used to. Porcelain restorations are by far the best dental restoration when it comes to cosmetically restoring your smile, as it is stronger than composite, is much more polished and natural in appearance. These restorations tend to blend in with your natural dentition and go undetected by the tongue when fit properly. It is a good idea to have restorations placed, not only for cosmetic purposes, but to restore proper function. Once your enamel is worn from your teeth, there is an increased risk for dental caries, as well as continued wear as the underlying dentin is a much softer tooth material and will wear much more quickly than the enamel would.
More Questions from Dental Restoration

Can mouth breathing affect the way the face grows. Ex: forward growth of face if you did at a young age
Hey I have a question on whether mouthbreathing affects the way the face grows, does it make the face grow downwards instead of forwards because of lack of support of tongue or is it it genetics since i too have a longer grownface compared to my...

Can mouth breathing affect the way the face grows ex.forward growth of face if you did at a young ag
Does mouth breathing affect the way the face grows like the forward growth of it as a kid my nose was broken and i breathed through nose so is it possible tht it affected my face growth or is it all genetics?

Alternative to a reverse pull headgear for underbite?
So, a reverse pull head gear pulls out the maxilla in order to harmonize with an overly protrusive lower jaw. But my daughter says she doesn't want that to happen. Is there an alternative head gear that instead pulls the lower jaw backwards in order...

Broken tooth help
I have a question about when and how to bond my front teeth. I face planted in the street from riding like a moped with no helmet in cracked chipped two teeth. The one is minimal and the front one is about 15% have a corner of the tooth. It's been a...

Bad veneer bad bite
I got 6 veneers on my front teeth in December. They do not fit...not the same as acrylic temps. Now have excruciating jaw pain. I also left that dentist, went to my primary dentist and he filed on some of my back teeth to relieve pain. Now as I...

Get my teeth to normal
My thorns have grown higher than the ones on the bottom. What can I do get them to a normal level or adjust them? Do I need braces or will they eventually adjust on their own? I feel insecure about it because every time I smile it pops like I’m...

Should this tooth be refilled
I was wondering if you think this tooth should have a new filling put in it or leave it alone. It has been sensitive every now and then but don't bother to much. If it were to be refilled what would be the best filling to replace it with

Deterioration of composite resin fillings after only a few weeks/months?
So some quick background, I hadn't been to a dentist in about a decade (I'm 30 if that matters) till this past January. Hadn't had any problems or noticeable cavities till about a year/year and a half ago, when a fair few seemed to pop up all at...

How can I get rid of deep set stain on front tooth caused by absess while tooth was growing
I have a deep stain on my front tooth, ive been bullied about it ever since I was in school and im very self concious about it. My dentist tried to patch it up which still wouldnt hide the stain, any options of what I can do to get rid of it that...

Crooked teeth options other then braces or Invisalign
My two lateral incisors are receded behind my two front teeth all the rest of my teeth are straight. I'm tryin to figure out my best option to get a quick smile make over I'd like to just have them pulled and put two implants in so they are...