What should I do when my mom refuses to take me to the dentist?
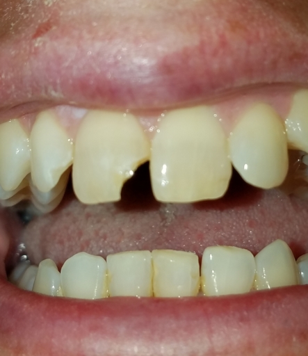
What should I do when my mom neglects to take me to the dentist B/C of the lack of funds? My teeth are slightly crooked, very crowded, and some are either broken or missing. Occasionally they will hurt enough to give me a headache or hurt when I try drinking any liquids. Also my gums use to bleed when I tried to brush my teeth so I just stopped trying. I have already been in court because of one parent and I don't want to do it again because of how stressful it was on me. My current age is 15 and I am searching for some kind of way to go to a dentist that my mom will hopefully allow. I have seriously never been to the dentist in my life and it's been a while since I have been to a doctor in general. What should I do?
Do you want to answer this question? Login or register now to answer this question.

Answer: Child Protective Services Case Worker
By Sarah h
Dental Professional
Reach out to your case worker or a counselor at school. Explain the situation to someone you trust and will help you seek out the right pathway for both you and your family. Many times there are local clinics that will help with funding or perform free dental services to those in need. If she truly can't afford it, its understandable, however not if you are in pain. There is a possibility that the pain is being caused by an infection and this can be extremely dangerous if not treated. If services are offered to you at no cost, and your mother still insists on not taking you, that is considered child neglect and would need to be addressed with the courts for your own protection. Your school counselor will be able to provide you with information on social services in our area.
More Questions from Dental Restoration

Can mouth breathing affect the way the face grows. Ex: forward growth of face if you did at a young age
Hey I have a question on whether mouthbreathing affects the way the face grows, does it make the face grow downwards instead of forwards because of lack of support of tongue or is it it genetics since i too have a longer grownface compared to my...

Can mouth breathing affect the way the face grows ex.forward growth of face if you did at a young ag
Does mouth breathing affect the way the face grows like the forward growth of it as a kid my nose was broken and i breathed through nose so is it possible tht it affected my face growth or is it all genetics?

Alternative to a reverse pull headgear for underbite?
So, a reverse pull head gear pulls out the maxilla in order to harmonize with an overly protrusive lower jaw. But my daughter says she doesn't want that to happen. Is there an alternative head gear that instead pulls the lower jaw backwards in order...

Broken tooth help
I have a question about when and how to bond my front teeth. I face planted in the street from riding like a moped with no helmet in cracked chipped two teeth. The one is minimal and the front one is about 15% have a corner of the tooth. It's been a...

Bad veneer bad bite
I got 6 veneers on my front teeth in December. They do not fit...not the same as acrylic temps. Now have excruciating jaw pain. I also left that dentist, went to my primary dentist and he filed on some of my back teeth to relieve pain. Now as I...

Get my teeth to normal
My thorns have grown higher than the ones on the bottom. What can I do get them to a normal level or adjust them? Do I need braces or will they eventually adjust on their own? I feel insecure about it because every time I smile it pops like I’m...

Should this tooth be refilled
I was wondering if you think this tooth should have a new filling put in it or leave it alone. It has been sensitive every now and then but don't bother to much. If it were to be refilled what would be the best filling to replace it with

Deterioration of composite resin fillings after only a few weeks/months?
So some quick background, I hadn't been to a dentist in about a decade (I'm 30 if that matters) till this past January. Hadn't had any problems or noticeable cavities till about a year/year and a half ago, when a fair few seemed to pop up all at...

How can I get rid of deep set stain on front tooth caused by absess while tooth was growing
I have a deep stain on my front tooth, ive been bullied about it ever since I was in school and im very self concious about it. My dentist tried to patch it up which still wouldnt hide the stain, any options of what I can do to get rid of it that...

Crooked teeth options other then braces or Invisalign
My two lateral incisors are receded behind my two front teeth all the rest of my teeth are straight. I'm tryin to figure out my best option to get a quick smile make over I'd like to just have them pulled and put two implants in so they are...