Which is better crowns or composite restoration?

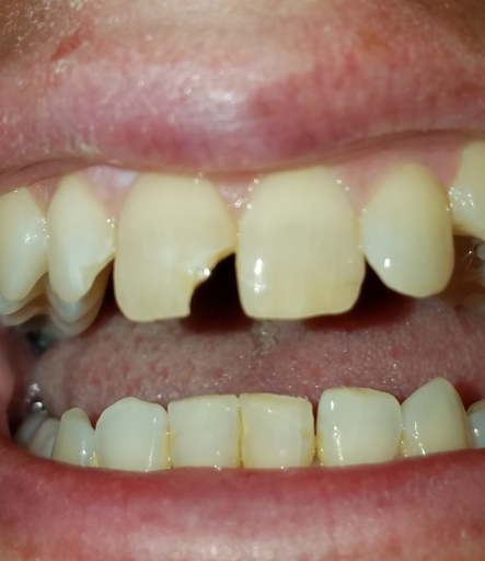
Dear Doctor, I have a question about the restoration of worn anterior and posterior teeth. My dentist recommends zirconium crowns on all 28 teeth while the are generally healthy and vital, only two molars were filled in the past. I made a little research on the above and found out that the new approach to deal on worn teeth should not be focused on the longevity of result but rather on saving natural tooth tissue. In this regard, composite restoration is less destructive way compared with crowns that requires destruction of up to 70% of tooth tissue. I am more inclined to composite restoration while my doctor insists on crowns. He says that composite restoration of posterior teeth would fail in short period of time. I would highly appreciate your advice on how to make this difficult decision. I have two molars filled 15 years ago and six anterior teeth restored with composite 5 years ago (no caries, just worn teeth. Thank you, Lela

Do you want to answer this question? Login or register now to answer this question.

No profile picture

Answer: Composite Resin vs. Porcelain

By Sarah h
Dental Professional

Composite restorations are great for small areas, but not to rebuild teeth that will be taking force such as premolars and molars. There is 100,000 pounds per square inch of pressure with each biting force in your mouth. Think about when you repair a car bumper after an accident, it can be patched with bondo resin, but not rebuilt. Zirconia crowns are ideal to provide full coverage to your posterior teeth and to protect them from further wear. This is only a recommendation however, it is not possible to diagnose your situation without dental radiographs and a full dental exam. If you aren't currently wearing an night guard, you should. This will protect your teeth when sleeping from an grinding or clenching. Many times insurance will not cover any restorative treatment that is a direct result of bruxism, so be sure to have a pre-estimate completed if you are counting on insurance helping you with your treatment.

More Questions from Dental Restoration

Can mouth breathing affect the way the face grows. Ex: forward growth of face if you did at a young age

Hey I have a question on whether mouthbreathing affects the way the face grows, does it make the face grow downwards instead of forwards because of lack of support of tongue or is it it genetics since i too have a longer grownface compared to my...

Can mouth breathing affect the way the face grows ex.forward growth of face if you did at a young ag

Does mouth breathing affect the way the face grows like the forward growth of it as a kid my nose was broken and i breathed through nose so is it possible tht it affected my face growth or is it all genetics?

Alternative to a reverse pull headgear for underbite?

So, a reverse pull head gear pulls out the maxilla in order to harmonize with an overly protrusive lower jaw. But my daughter says she doesn't want that to happen. Is there an alternative head gear that instead pulls the lower jaw backwards in order...

Broken tooth help

I have a question about when and how to bond my front teeth. I face planted in the street from riding like a moped with no helmet in cracked chipped two teeth. The one is minimal and the front one is about 15% have a corner of the tooth. It's been a...

Bad veneer bad bite

I got 6 veneers on my front teeth in December. They do not fit...not the same as acrylic temps. Now have excruciating jaw pain. I also left that dentist, went to my primary dentist and he filed on some of my back teeth to relieve pain. Now as I...

Get my teeth to normal

My thorns have grown higher than the ones on the bottom. What can I do get them to a normal level or adjust them? Do I need braces or will they eventually adjust on their own? I feel insecure about it because every time I smile it pops like I’m...

Should this tooth be refilled

I was wondering if you think this tooth should have a new filling put in it or leave it alone. It has been sensitive every now and then but don't bother to much. If it were to be refilled what would be the best filling to replace it with

Deterioration of composite resin fillings after only a few weeks/months?

So some quick background, I hadn't been to a dentist in about a decade (I'm 30 if that matters) till this past January. Hadn't had any problems or noticeable cavities till about a year/year and a half ago, when a fair few seemed to pop up all at...

How can I get rid of deep set stain on front tooth caused by absess while tooth was growing

I have a deep stain on my front tooth, ive been bullied about it ever since I was in school and im very self concious about it. My dentist tried to patch it up which still wouldnt hide the stain, any options of what I can do to get rid of it that...

Crooked teeth options other then braces or Invisalign

My two lateral incisors are receded behind my two front teeth all the rest of my teeth are straight. I'm tryin to figure out my best option to get a quick smile make over I'd like to just have them pulled and put two implants in so they are...