why did my dentist go this route?
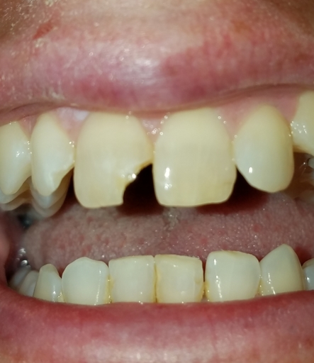
OK so October 31st I passed out from dehydration and smashed my face in to a door and my front teeth hurt so I went to the dentist sometime in the first week of November. They took an Xray and found a horizontal root fracture located on the left front tooth. They decided to splint the teeth and told me to come back in in 2 weeks so I did and another xray was taken with no progress. And told me to come back in 2 weeks later and they had to postpone that to Jan 26th when they tookanother xray and found tthat not only does my left front tooth have an fracture but now the right front tooth has a horantal root fracture too. When I asked if I might lose them she said that I have a higher chase ofkeeping it cause its located near the end of the root but iI\'m not out of the water. And she then removed the splint and told me to come back in 6 months. If I have another fracture and nothing has changed why would she just ignore it and leave me in the dark for so long? What should I do?
Do you want to answer this question? Login or register now to answer this question.

Answer: Fractured Root
By Sarah h
Dental Professional
Most dentists now are conservative and do not like to perform unnecessary treatment. More than likely your dentist splint the teeth and took progress radiographs to determine if the teeth would stabilize on their own or if an abscess would form. Unfortunately, its now a waiting game. If the teeth are stable and not hurting, it doesn't make sense to treat them. It is best to use caution and routinely follow-up with your dentist so the teeth can be monitored and if an abnormality appears on the radiograph, it can be addressed promptly. You may go years without any issues, or you may go days. Your body is an amazing machine and will try to repair what it is capable of on its own. Let nature take its course and know that your dentist has your best interest in mind and will closely monitor your teeth as long as you do your part as a patient.
More Questions from Dental Restoration

Can mouth breathing affect the way the face grows. Ex: forward growth of face if you did at a young age
Hey I have a question on whether mouthbreathing affects the way the face grows, does it make the face grow downwards instead of forwards because of lack of support of tongue or is it it genetics since i too have a longer grownface compared to my...

Can mouth breathing affect the way the face grows ex.forward growth of face if you did at a young ag
Does mouth breathing affect the way the face grows like the forward growth of it as a kid my nose was broken and i breathed through nose so is it possible tht it affected my face growth or is it all genetics?

Alternative to a reverse pull headgear for underbite?
So, a reverse pull head gear pulls out the maxilla in order to harmonize with an overly protrusive lower jaw. But my daughter says she doesn't want that to happen. Is there an alternative head gear that instead pulls the lower jaw backwards in order...

Broken tooth help
I have a question about when and how to bond my front teeth. I face planted in the street from riding like a moped with no helmet in cracked chipped two teeth. The one is minimal and the front one is about 15% have a corner of the tooth. It's been a...

Bad veneer bad bite
I got 6 veneers on my front teeth in December. They do not fit...not the same as acrylic temps. Now have excruciating jaw pain. I also left that dentist, went to my primary dentist and he filed on some of my back teeth to relieve pain. Now as I...

Get my teeth to normal
My thorns have grown higher than the ones on the bottom. What can I do get them to a normal level or adjust them? Do I need braces or will they eventually adjust on their own? I feel insecure about it because every time I smile it pops like I’m...

Should this tooth be refilled
I was wondering if you think this tooth should have a new filling put in it or leave it alone. It has been sensitive every now and then but don't bother to much. If it were to be refilled what would be the best filling to replace it with

Deterioration of composite resin fillings after only a few weeks/months?
So some quick background, I hadn't been to a dentist in about a decade (I'm 30 if that matters) till this past January. Hadn't had any problems or noticeable cavities till about a year/year and a half ago, when a fair few seemed to pop up all at...

How can I get rid of deep set stain on front tooth caused by absess while tooth was growing
I have a deep stain on my front tooth, ive been bullied about it ever since I was in school and im very self concious about it. My dentist tried to patch it up which still wouldnt hide the stain, any options of what I can do to get rid of it that...

Crooked teeth options other then braces or Invisalign
My two lateral incisors are receded behind my two front teeth all the rest of my teeth are straight. I'm tryin to figure out my best option to get a quick smile make over I'd like to just have them pulled and put two implants in so they are...