
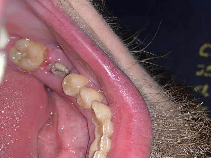
Is my gum healing or is it infected?
I had a Pre-Molar Extraction 5 days ago. Pain is minimal and swelling has reduced. My left jaw line gland has been swollen since before the extraction and no sign of it going down. Inside the extraction sight as you see in the image there’s a strange substance, I haven’t got a foul taste other than it tasting metallic. My question is is this just a scab or is it infected, my biggest fear is sepsis in the jaw as many family members have had issues with teeth. Any help with this will be greatly appreciated.
Do you want to answer this question? Login or register now to answer this question.

Answer: I have the same problem
By Aleeza Ahmed
Hi, I have the same issue, did you manage to heal fine? Or was it an infection
More Questions from Extractions

Is this normal healing of extraction sites
I had 2 wisdom and 2 molars removed as of now 5 days ago and these photos were taken on day 3, I was concerned that they may be infected, but there is no pain or outrageous swelling, no bleeding either and I can't really tell if there is a bad smell...

Wisdom teeth removed, is this dry socket or healing normally?
I’m concerned I have a dry socket from my salt rinses. Does this look like normal healing or is something wrong? It has a gray color and on the right side I can see some white. I got my teeth removed on 5/3 and felt like I was healing alright. I got...

Is this tooth extraction healing correctly?
I still have minor pain. It was a root canal with a screw. I never went back to finish it. Now the tooth is dead. I am taking antibiotics and ibuprofen for the pain. It's been five days and I've also done salt rinses. I'm not certain, thank you...

Is this healing normal
I got my upper tooth removed four days ago. Is this healing as it should be or could it be dry socket. I'm so worried it is not sore or anything like that but is that the clot or greyish bone? I hope its not dry socket as its meant to be a very...

Are extractions my only option or a good option for me?
I'm 20 years old and I have 12 teeth on top and 14 on bottom. I also have a crossbite. A lot of spacing on the top and a lot of overcrowding on the bottom. Is teeth extraction my only option? Or will something work better for me personally.

Is this a cause for concern?
Six days ago I had 2 teeth extracted, I still have minor throbbing near extraction sure, and noticing white stuff in extraction site. Does this mean I'm healing or does this mean I'll need to go back to the dentist? Is this a dry socket? Or just...

Infected wisdom tooth removal
I had my wisdom teeth pulled (2) on the left side. Top & bottom. I went to the hospital the next day because of a severe sore throat, my whole left side was extremely swollen, 101.6 fever and my tthriat was red, tongue extremely swollen and numb...

So I have dry socket? Is it infected or healing well? 9 days after wisdom tooth extraction
Hi!! This is my first ever tooth extraction, I’m wondering if I have dry socket ? Or an infection? Or is it healing normally? It’s been 9 days since having my impacted wisdom tooth removed. The place I went to really didn’t give me any information...

Why am I having chest pains after a surgical extraction?
I went to the dentist on the 31st of last month and had a molar on my bottom jaw removed because it was causing me an ear ache. It took a lot to numb the tooth and she had to keep shooting the numbing medication in the tooth at least 10 more times...

Is it infected? Did is dislodged? Healing properly?
Hello I'm 19yo and I had my teeth which has decayed removed (bottom left at the far back). This is the 7th day since the extraction and there used to be a white thing on the gum.. Now I have had a look at it again and it's gone, no pain, i do taste...