
Drastic color change in under a week
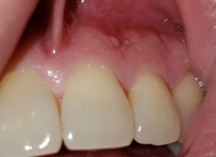
Please help, i'm so worried. I had a resin composite build up with two metal pins for my top front tooth after it broke off at the gums. Dentist asked if I had injured that tooth before because the nerve looked damaged. It was beautiful and matched my crown next to it. That was six days ago and since, it has turned almost black, along with the two lower front teeth below it which were filled in August when being fitted for a metal cast partial. The partial was not fitted properly and pushes against upper front teeth, moves around, shows gaps and my gums are irritated and taste like metal when removing it. (Getting new partial started in January). Just really concerned as this has never happened with my fillings or teeth before. I only drink water with one cup of coffee in the morning, don't smoke, drink or do drugs. Top picture is 6 days ago, bottom is this evening.
Do you want to answer this question? Login or register now to answer this question.

Answer: Drastic color change
By Sarah h
Dental Professional
In the 20 years I have been in dentistry, I have never seen composite resin stain in the way it is pictured. If it is not extrinsic stain resulting from something you have eaten or drank, it could be a reaction of the metal pins and the resin used. The before picture you posted the teeth match beautifully. Either way, this is something that needs to be brought to the attention of your dentist immediately.
More Questions from General Dental

grinding teeth
my dentist was to fill one tooth but in the process which took a long time, I have found that two of my bottom teeth where the filling was done, the dentist also grounded down two of my teeth (without telling me) and now they are shorter than the...

Hole in a filling
I had a filling done on the side of a back tooth as there was a slight hole where a filling had been done many many years ago but had come away. The dentist noticed a hairline crack so filled this hole with a white filling and didn’t need to drill...

What procedure would help fix the gap and crooked of my two front teeth?
I have been living under fear and was a victim of bullying because of my teeth. They are very unaligned....the ones that concern me the most are the two front teeth they are crooked and there is a very wide noticeable gap there. I hate it and it's...

White Bumps - Harmless or Urgent?
I just noticed 3-4 days ago that I have tiny gums colored and white bumps near the roots of my teeth but in-between the teeth (primarily on the gingiva or border between gingiva and gums). They are semi hard and painless. Some appear in clusters. I...

Military and teeth
Im planning to enlist in the military however one needs to not have any dental treatment to join. Im planning on quitting wearing my retainers so I can enlist and I alreadly notice its starting to shift back. Now I cant put both of my Jaws lined up....

I have a deep overbite.
I have had a deep bite and no dentist wants to treat it. My top front teeth completely overlaps my bottom teeth, I have issues with speaking and eating. I have developed TMJD and a trainee dentist told me there is no way that my deep bite caused...

Back gum is swollen but doesn’t hurt no infection
My gum is a little swollen but it doesn’t hurt unless I move it or press on it it’s on my last back molar. Should I be worried? I can’t afford a dentist and have no insurance but I can eat fine and drink fine. Should I be super concerned I gargled...

Is the bump on my tongue cause for concern?
Hi, my name is Sarah, and I'm a 25-year-old female. I have a bump on the lateral right side of my tongue (see picture). In diameter, I'd say it's about the size of a pencil eraser. The other side of my tongue does not look like this at all. There's...

Should I get new braces? Can’t I just get new retainer?
I used braces for one and half years, then I got the plastic clear retainer and was told to wear it every night for 6 months. But, I always forgot to wear it then when I went back to my orthodontist, he told me to wear my retainer for another 3...

What are dental sealants supposed to feel like?
I had dental sealants on my molars when I was 7, I just got them redone at 22. Unfortunately, my molars where the sealants are placed feel very chalky, not slick like the rest of my teeth.But there aren’t bite problems or sharp pieces. I’m wondering...