Lump near right k-9

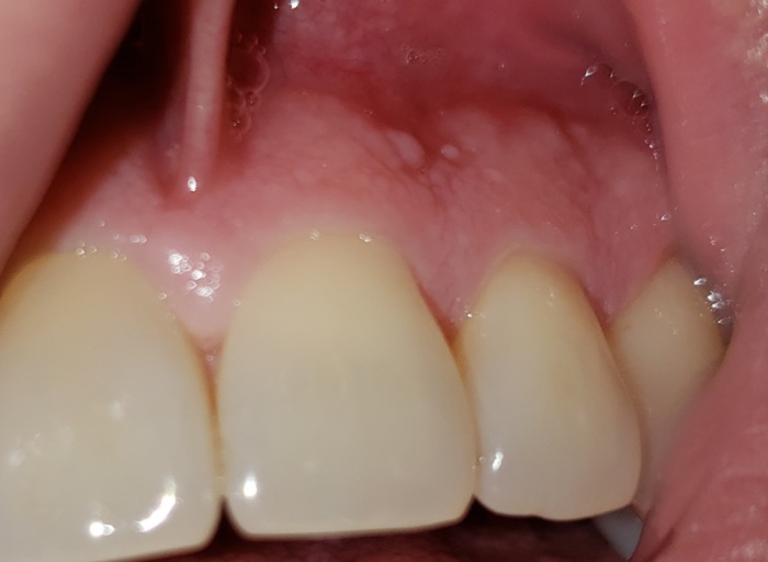
I have a very small, hard spot on my gums, right next to my right k9. I used a Swedish tobacco called snus in the area, periodically for approximately 3-4 months. This bump has been there 1-2 weeks, is painless and does not bleed. What could this be? I also used American dip for 8 years but in my lower jaw, never upper. I have read snus has an extraordinarily low risk for oral cancer, and had been using a very short time, could it be cancer or lesion?

Do you want to answer this question? Login or register now to answer this question.

No profile picture

Answer: Lump Near Right Canine Tooth

By Sarah h
Dental Professional

A small hard spot on the gums could indicate numerous conditions. First depending if the bump is on the cheek or the tongue side, it could be a torus or tori forming. This is simply a small bony bump, which is non-malignant. The bump will remain light pink in color and begin to show for longer than a period of 2 weeks. If the bump is bright red or a dark red colored lesion, you may want to have it checked immediately for oral cancer. Oral cancer is usually a soft tissue lesion, meaning a soft, not very hard bump. Be sure to keep track of the size, texture and shape as well. It could also be a bacterial infection or an abscess. A bacterial infection will go away quickly, where an abscess will continue to get worse or pain and swelling can develop. An abscess can spread to the surrounding teeth and even your bloodstream. Cysts, traumatic injuries and canker sores are also possible causes of a lump or mass on the gums. Traumatic injuries and canker sores being most common. With all these possibilities it is best to schedule an appointment to have your dentist to examine the area. He/she will be able to biopsy if needed and refer you to the oral surgeon if cancer or a cyst is suspected.

More Questions from General Dental

grinding teeth

my dentist was to fill one tooth but in the process which took a long time, I have found that two of my bottom teeth where the filling was done, the dentist also grounded down two of my teeth (without telling me) and now they are shorter than the...

Hole in a filling

I had a filling done on the side of a back tooth as there was a slight hole where a filling had been done many many years ago but had come away. The dentist noticed a hairline crack so filled this hole with a white filling and didn’t need to drill...

What procedure would help fix the gap and crooked of my two front teeth?

I have been living under fear and was a victim of bullying because of my teeth. They are very unaligned....the ones that concern me the most are the two front teeth they are crooked and there is a very wide noticeable gap there. I hate it and it's...

White Bumps - Harmless or Urgent?

I just noticed 3-4 days ago that I have tiny gums colored and white bumps near the roots of my teeth but in-between the teeth (primarily on the gingiva or border between gingiva and gums). They are semi hard and painless. Some appear in clusters. I...

Military and teeth

Im planning to enlist in the military however one needs to not have any dental treatment to join. Im planning on quitting wearing my retainers so I can enlist and I alreadly notice its starting to shift back. Now I cant put both of my Jaws lined up....

I have a deep overbite.

I have had a deep bite and no dentist wants to treat it. My top front teeth completely overlaps my bottom teeth, I have issues with speaking and eating. I have developed TMJD and a trainee dentist told me there is no way that my deep bite caused...

Back gum is swollen but doesn’t hurt no infection

My gum is a little swollen but it doesn’t hurt unless I move it or press on it it’s on my last back molar. Should I be worried? I can’t afford a dentist and have no insurance but I can eat fine and drink fine. Should I be super concerned I gargled...

Is the bump on my tongue cause for concern?

Hi, my name is Sarah, and I'm a 25-year-old female. I have a bump on the lateral right side of my tongue (see picture). In diameter, I'd say it's about the size of a pencil eraser. The other side of my tongue does not look like this at all. There's...

Should I get new braces? Can’t I just get new retainer?

I used braces for one and half years, then I got the plastic clear retainer and was told to wear it every night for 6 months. But, I always forgot to wear it then when I went back to my orthodontist, he told me to wear my retainer for another 3...

What are dental sealants supposed to feel like?

I had dental sealants on my molars when I was 7, I just got them redone at 22. Unfortunately, my molars where the sealants are placed feel very chalky, not slick like the rest of my teeth.But there aren’t bite problems or sharp pieces. I’m wondering...