White lesion

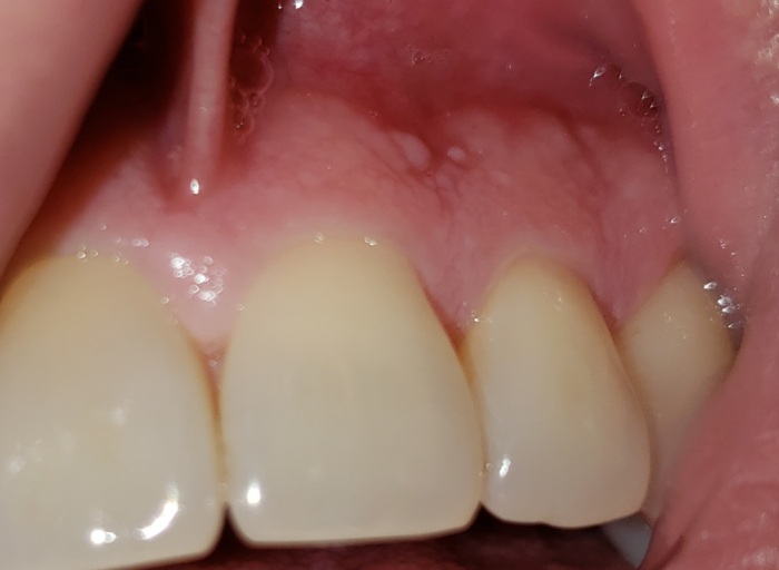
Hi, I have had a white spot on one of my front teeth for most of my life. All the dentists I have addressed it with say it is completely normal and is a non-issue. However, aesthetically it bothers me. I've tried to whiten the surrounding surfaces to disguise the spot, enamel restoring cream, etc. Nothing fades the spot permanently, I was just wondering what my options are for this issue.

Do you want to answer this question? Login or register now to answer this question.

No profile picture

Answer: White Lesion

By Sarah h
Dental Professional

White spots on the enamel of teeth are termed, enamel hypoplasia or hypocalcification. These areas appear more white or chalky in color because they are less mineralized, more prone to decay. Unfortunately, whitening your teeth will not only lighten the remainder of the tooth, but these areas as well. The best option is a porcelain veneer. This is a thin porcelain covering over the facial (front) of the tooth. Due to the fact that it is cosmetic, insurance more than likely will not cover this service. Meeting with a cosmetic dentist and discussing your concerns and options to restore your teeth is recommended.

More Questions from General Dental

grinding teeth

my dentist was to fill one tooth but in the process which took a long time, I have found that two of my bottom teeth where the filling was done, the dentist also grounded down two of my teeth (without telling me) and now they are shorter than the...

Hole in a filling

I had a filling done on the side of a back tooth as there was a slight hole where a filling had been done many many years ago but had come away. The dentist noticed a hairline crack so filled this hole with a white filling and didn’t need to drill...

What procedure would help fix the gap and crooked of my two front teeth?

I have been living under fear and was a victim of bullying because of my teeth. They are very unaligned....the ones that concern me the most are the two front teeth they are crooked and there is a very wide noticeable gap there. I hate it and it's...

White Bumps - Harmless or Urgent?

I just noticed 3-4 days ago that I have tiny gums colored and white bumps near the roots of my teeth but in-between the teeth (primarily on the gingiva or border between gingiva and gums). They are semi hard and painless. Some appear in clusters. I...

Military and teeth

Im planning to enlist in the military however one needs to not have any dental treatment to join. Im planning on quitting wearing my retainers so I can enlist and I alreadly notice its starting to shift back. Now I cant put both of my Jaws lined up....

I have a deep overbite.

I have had a deep bite and no dentist wants to treat it. My top front teeth completely overlaps my bottom teeth, I have issues with speaking and eating. I have developed TMJD and a trainee dentist told me there is no way that my deep bite caused...

Back gum is swollen but doesn’t hurt no infection

My gum is a little swollen but it doesn’t hurt unless I move it or press on it it’s on my last back molar. Should I be worried? I can’t afford a dentist and have no insurance but I can eat fine and drink fine. Should I be super concerned I gargled...

Is the bump on my tongue cause for concern?

Hi, my name is Sarah, and I'm a 25-year-old female. I have a bump on the lateral right side of my tongue (see picture). In diameter, I'd say it's about the size of a pencil eraser. The other side of my tongue does not look like this at all. There's...

Should I get new braces? Can’t I just get new retainer?

I used braces for one and half years, then I got the plastic clear retainer and was told to wear it every night for 6 months. But, I always forgot to wear it then when I went back to my orthodontist, he told me to wear my retainer for another 3...

What are dental sealants supposed to feel like?

I had dental sealants on my molars when I was 7, I just got them redone at 22. Unfortunately, my molars where the sealants are placed feel very chalky, not slick like the rest of my teeth.But there aren’t bite problems or sharp pieces. I’m wondering...