Who Do I listen to: Endodontic or Oral Surgeon
Chicago wants to know: Tooth 20 is acting up. Last year, 2014, tooth 19 was pulled because it was too decayed and an old too. I am 77 years old. I saw many dentist inquiring about three teeth, 15, 19, and 20. The endodontic specialist advised re-root canal on #20. He agreed with the oral surgeon to pull #19. Oral Surgeon made a parting shot. I'll be back. My guess it was tooth 20 he was speaking about. If I pay to have another referral - no one knows for sure until they start to re-root the tooth. Then if it looks too bad they can extract it. But few to no dental professional does both treatment and extraction. Some do. Any advice to what I should do - pull the tooth and get an implant sounds good to me if I can't save the tooth.
No answers so far.
Do you want to answer this question? Login or register now to answer this question.
More Questions from Endodontics

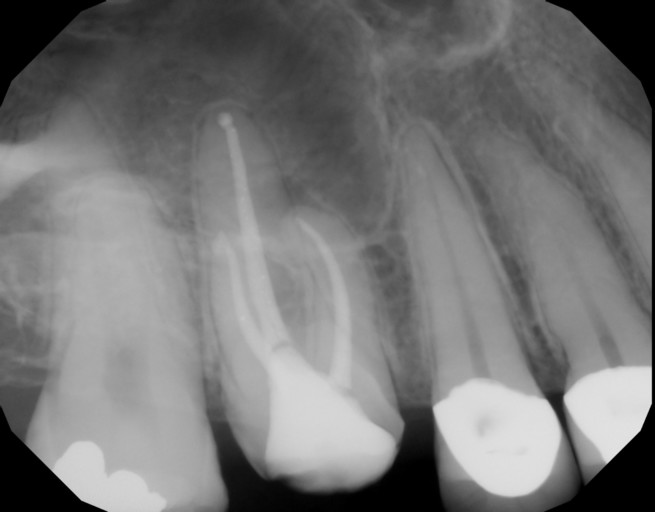
Looking at crown and root canals
if my front tooth has blackening how much is that service? 2nd question Do you need a crown on every root canal? I believe I need 3 on them. I have a front tooth with decay and also 2 on my lower row of teeth. I only have medicaid which doesn't...

Root canal re-treatment- periapical cyst
Hi, I had a root canal re-treatment due to a periapical cyst. I had no symptoms but decided to be proactive. The doctor opened the canal and drained it. A week later the doctor disinfected the canal and filled it in. He didn't use calcium hydroxide...

Apicoectomy
Hello! I found you on ask a dentist and I’m hoping you can ease a worried mind. I had a root canal on tooth 12 the beginning of February. Apparently the tooth had a tiny old filling that leaked. No infection but tooth was dying. Following root...

Need to get checked out?
I have a question! Since we are having a lockdown, I can’t go to the dentist. I’m not sure if this is a problem. I’m going to try explain this the best to my ability. I’m 15, and I think a wisdom tooth is coming in. In my bottom jaw, the little...

Should roots be sealed with drainage still occurring?
My tooth has an abscess so an endodontist started my root canal, drained it and put antibiotic inside and a temporary filling. When I went back to finish it he said it was still draining and I clearly still had the abscess on my gums but went on to...

If My Front Tooth can be Salvaged.
Hi,I reinjured one of my front teeth that was previously injured after a fall and was pushed back in my mouth 1 yr ago. I had it positioned back into place, got a root canal done and had splinter over it. But 2 weeks ago I reinjured the tooth and it...

Can a tooth perform it’s own root canal?
I just went to the dentist because I had fallen and hit my teeth hard. From the X-ray they determined that the nerves in my front two incisors were dead. There was no visible root in either tooth. He didn’t prescribe any treatment because he said...

Cost of Root Canal
Upper right #3 molar was treated. My tooth was leaning forward with a curved root due to #4 molar missing. It took approximately forty minutes to treat tooth. Was charged $1831.00 including scam and consultation. With no mention of cost. How much...

Is this root canal ok? What is black space?
Had a root canal done almost a year ago but had the crown removed because food kept getting trapped underneath. It is tooth #29. It was omitting a bad smell from flossing the food out that kept getting trapped by the crown. Then I noticed on the...

Does over filling the tooth after a root canal cause inflammation and pain
I had a root canal in May. I went to the dentist to fill my tooth and he filled my tooth too much according to my endodontist, she has it on an x Ray that the endodontist took. Now I am on antibiotics