1 week post wisdom teeth removal
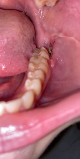
Got all 4 wisdom teeth removed exactly a week ago. I thank god didn't really have so much pain, but now I feel like what I think teething may feel like. My head is pounding. I take 3 Advil and 1 extra strength Tylenol before bed and then I usually wake up 3 or 4 in the morning in pain again. Is that normal pain to be feeling? Also the holes where my teeth were have this white stuff no smell is coming from it though. Is that normal? My surgeons office is closed until Monday so any responses would help. Thanks! Report Abuse
Do you want to answer this question? Login or register now to answer this question.

Answer: 1 week post wisdom teeth removal
By Sarah h
Dental Professional
It is possible that you have developed a dry socket. This happend when the blot clot is dislodged from the socket exposing bone. It will need to be treated with a medication and packing gauze until it can heal over again. Unfortunately, you need to see your dentist or the oral surgeon to place this medication. It is not available over-the-counter. The white stuff that is covering the sockets is more than likely part of the healing process and you should not be worried. Be sure you are gently rinsing with warm salt water several times a day to keep the area as clean as possible.
More Questions from Dental Surgery

Is the a dry socket or normal healing?
got pulled 3 days ago curious whether or not it’s a dry socket isn’t into much pain I would really appreciate if someone would answer. feels normal just wondering has stitches around it. not to deep of a hole.

will my bone graft surgery help minimize my periodontal pocket?
I have a tooth that is coming out, my dentist said he will be doing a deep cleaning, a sinus lift and bone graft before he places an implant and crown. I noticed that there is spacing in that tooth and the one next to it, will the bone graft and...

Is this an infection?
I just had all 4 wisdom teeth removed 3 days ago and this is on the bottom left side and I can’t tell what it is. It is only on the left bottom side and from trying to look it up on the internet I can’t tell if it’s an infection or not.

Jaw Bone Showing After Wisdom Tooth Extraction
Hello! One week ago I have two wisdom teeth removed, both being on the same side of my mouth. I had an infection on my bottom wisdom tooth and was given antibiotics prior to the extraction. Since the surgery, I have had dull pain from that one...

Do I need a biopsy? Is this a mucucele?
See pics please. This is soft to the touch. Been there a few years. I thought is was a blocked saliva duct but now it has the dark area beneath it which is new. Of note. About 6 years ago a general dentist said to keep an eye on it for any...

Why Am I Missing Roots on My Wisdom Teeth?
I'm having my wisdom teeth taken out soon. I was told that none of the four wisdom teeth have roots. I even saw the x rays, and it just looked like the top of a normal molar. They have not broken through the gums yet, but they felt I needed them out...

Help! Might need wisdom teeth removal during coronavirus.
Hello so I have had jaw pain and my wisdom teeth have needed to be removed. What should I do, all oral surgeons are closed due to COVID-19. Help please I am very nervous! My jaw seems a little swollen and I am worried it might spread!

Impacted Canines
What is the procedure for impacted Canines that are at the top only for both canines and they are in the top of the gums on the outside (not in palette). I have an X-ray. ITS FOR MY DAUGHTER... 12 years old and 2 months.

Wisdom Tooth Removal, Infection?
I got my wisdom teeth removed on January 8th (it is now Jan 23) and I'm not sure if I'm healing properly. I am unable to visit my oral surgeon again, as I attend school out of state from where I had the procedure otherwise I would go in for a quick...

Underbite Worsening with Age and Correction Options
I had an underbite that orthodontists originally expected to correct itself. I got braces in 4th grade (about 9-10 years old) to correct a large gap due to two missing teeth (genetic, not caused by trauma) and then the orthodontist added a palette...