
Canker Sore Gone Rouge
So for 4 weeks I've had this gone rouge canker sore. I'm getting it surgically removed in 2 months. It's so noticeable although it's in the inside of my bottom lip. I also wear bottom retainers and that makes the pain 2x worse. What can I do to reduce it or completely remove it. I've tried staying away from sugary or acidic food but that doesn't help, please help me. I'm scared it'll bust and leave a forever mark on my my mouth.
Do you want to answer this question? Login or register now to answer this question.

Answer: Aphthous Ulcer
By Sarah h
Dental Professional
Recurrent aphthous stomatitis is a common ulcerative inflammatory condition of the mouth. It is referred to as RAS. The lesions appear as small, painful, round or ovoid ulcers and usually start in adolescence. Recurrent Aphthous stomatitis is diagnosed from history as well as clinical features, with a positive family history. Not all recurring ulcers are RAS, so it must be determined if there is an underlying systemic disorder. Some common causes of RAS include psychological stress, nutritional deficiency, dietary allergies, trauma and genetic susceptibility. If you are under high stress, trauma or not eating properly, try treating that condition as well. Ulcers with similar characteristics that rarely resolve spontaneously with age are usually indicative of a systemic condition such as an auto-immune disorder. Once diagnosed with RAS based on clinical features and history, topical corticosteriods can be prescribed and remain the treatment of choice. Prior to surgery, a corticosteroid may be an option.
More Questions from Orthognathic Surgery

Will jaw surgery correct my tongue thrust?
I have an open bite due to a tongue thrust I've had since I was a baby (I'm 22 now). My open bite has caused some issues like with trouble chewing, I have a slight lisp when I talk, I hate my smile and sometimes I find myself gasping for breath in...

Should I get jaw surgery?
Hello, I have an under bite, and while my braces were on, I was told to get jaw surgery. However, I rejected it at the time and so the orthodontists did their best to line up my teeth using braces. I now have my braces off, but I'm not completely...

Jaw Surgery Doesn't Feel Right - Le Fort
I recently had le fort I upper jaw advancement and feel like it isn’t right. Any help or advice is appreciated. I had braces at the age of 18 that camouflaged underlining issues with very narrow palate. I had many teeth removed growing up also. I...

Infraorbital nerve feeling after jaw surgery
A year ago I had jaw surgery, maxillary osteotomy. Since then, my upper teeth and gums had been numb. I knew regaining feeling would take time, but I never got many details about what that would be like. I've been having a lot of sinus pain and...

Surgery had on my 4 teeth and bone removed
My gums feel like they were cut up into nothing. there hurting , raw and sore.what can i do to help my gums to heal fast and assist them please. Pain medication isn't helping at all. The dr. had a hard time cutting teeth and bones out

My gum is growing over my teeth
Why are my gums growing over my bottom teeth? It hurts so bad I can barely take it. I have a very hard time brushing because they bleed.They also bleed, it hurts when I eat. Sometimes I wake up in the middle of the night and have blood on my pillows...

Do I require lefort 1 advancement?
I am 9 months post sarpe. My orthodontist said I should ask my surgeon if I should do lefort 1. My surgeon says I wouldn’t need lefort 1 advancement unless my ortho tilts my bottom front teeth out. What should I do and what questions and procedures...

Overjet? Braces? Is my upper jaw forward or my lower jaw back??
I am 26 yr old female and i have finally gathered the money to get my braces done. Over the years i have been told that my lower jaw is "pushed back" and it could cause problems when am older. The last orthodontist i went to, mentioned that i have...

Bone Grafting
Hello I am 42 years old and I recently had an orthodontic consultation where the orthodontist said that because I have a slight posterior cross bite on my upper right side, I MAY need a bone graft (before a full course of Invisalign or braces) or...

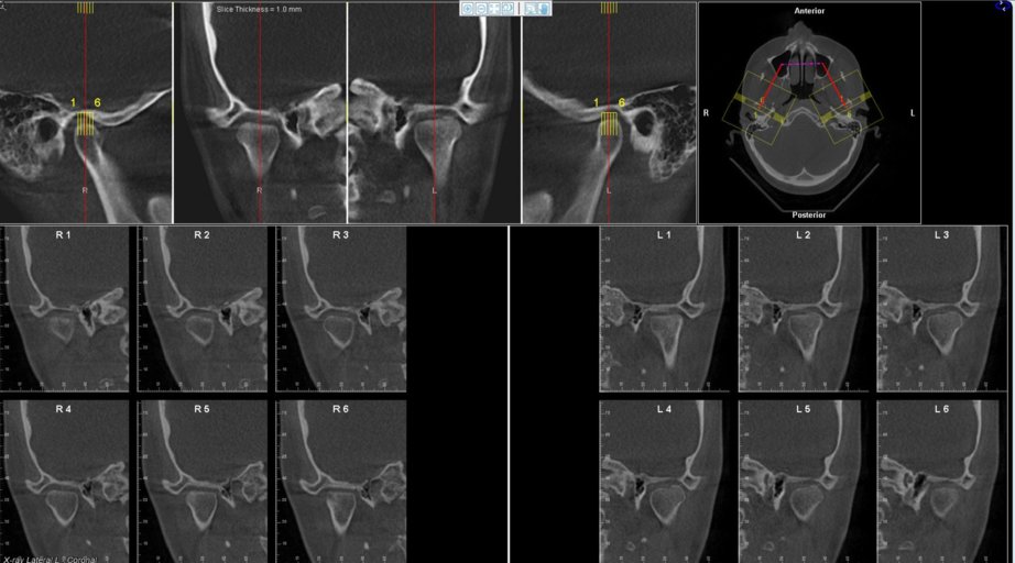
In this image of my condyles, do they appear normal/healthy or is there any bone loss?
Attached is an image of my condyles. Are they normal and healthy or Do you see any bone loss such as flattening or erosion of them? If there does appear to be some bone loss, how does this affect my bite and the appearance/position of my jaw?? Is...