
Overjet? Braces? Is my upper jaw forward or my lower jaw back??
I am 26 yr old female and i have finally gathered the money to get my braces done. Over the years i have been told that my lower jaw is "pushed back" and it could cause problems when am older. The last orthodontist i went to, mentioned that i have an overjet but he is not sure if thats whether my lowerjaw is pushed back or because my upper jaw is forward so he told me to get my x-rays done. He gave me three options (he has not seen the X-rays yet): Option 1: Have a surgery but i cannot afford to do so. Option 2: Remove two teeth from my upper jaw which will help push the upper jaw back a bit so it will meet with my lower jaw. Option 3: Do not remove any teeth, teeth wil be straightened but there will be a small gab between my upper and lower jaw. Option 2 Scares me. I have heard my whole life that my lower jaw is pushed back(especially when i talk/smile) and the idea of forcing my upper jaw back aswell seems unsetteling. I like option 3 , however, is it really okay that my uper and lower teeth will have a gab between them? will that cause any problems in the future? p.s. I am getting Lingual braces.
Do you want to answer this question? Login or register now to answer this question.

Answer: Overjet and braces
By Sarah h
Dental Professional
First you need to set your goals and expectations. What do you like about your smile and what would you change. If you just want your teeth straight, then overjet and molar relationship doesn't matter. If you don't want to remove teeth, dont. Your orthodontist is giving you options so you can decide what's important and what's not. Having a small amount of overjet will not create problems for you in the future. You need to be happy with your smile and confident that you have made the best choice to meet your treatment goals. The best option is whatever you feel most comfortable with.

Answer: My advise do NOT put braces.
By Iman Farid
I advise you not to put braces on and go for another option called orthotropics. They will push your lower teeth forward which will help you breath better and create the right space between upper and lower teeth. If you pull your teeth in your nose will appear bigger your jaw will appear smaller it’s a recipe for disaster. Been there don’t that my advise ditch traditional braces go for orthotropics treatment. Ps you’re never too old I’m 27 I got messed up with braces and now I’m fixing it with expanders slowly slowly
More Questions from Orthognathic Surgery

Will jaw surgery correct my tongue thrust?
I have an open bite due to a tongue thrust I've had since I was a baby (I'm 22 now). My open bite has caused some issues like with trouble chewing, I have a slight lisp when I talk, I hate my smile and sometimes I find myself gasping for breath in...

Should I get jaw surgery?
Hello, I have an under bite, and while my braces were on, I was told to get jaw surgery. However, I rejected it at the time and so the orthodontists did their best to line up my teeth using braces. I now have my braces off, but I'm not completely...

Jaw Surgery Doesn't Feel Right - Le Fort
I recently had le fort I upper jaw advancement and feel like it isn’t right. Any help or advice is appreciated. I had braces at the age of 18 that camouflaged underlining issues with very narrow palate. I had many teeth removed growing up also. I...

Infraorbital nerve feeling after jaw surgery
A year ago I had jaw surgery, maxillary osteotomy. Since then, my upper teeth and gums had been numb. I knew regaining feeling would take time, but I never got many details about what that would be like. I've been having a lot of sinus pain and...

Surgery had on my 4 teeth and bone removed
My gums feel like they were cut up into nothing. there hurting , raw and sore.what can i do to help my gums to heal fast and assist them please. Pain medication isn't helping at all. The dr. had a hard time cutting teeth and bones out

My gum is growing over my teeth
Why are my gums growing over my bottom teeth? It hurts so bad I can barely take it. I have a very hard time brushing because they bleed.They also bleed, it hurts when I eat. Sometimes I wake up in the middle of the night and have blood on my pillows...

Do I require lefort 1 advancement?
I am 9 months post sarpe. My orthodontist said I should ask my surgeon if I should do lefort 1. My surgeon says I wouldn’t need lefort 1 advancement unless my ortho tilts my bottom front teeth out. What should I do and what questions and procedures...

Overjet? Braces? Is my upper jaw forward or my lower jaw back??
I am 26 yr old female and i have finally gathered the money to get my braces done. Over the years i have been told that my lower jaw is "pushed back" and it could cause problems when am older. The last orthodontist i went to, mentioned that i have...

Bone Grafting
Hello I am 42 years old and I recently had an orthodontic consultation where the orthodontist said that because I have a slight posterior cross bite on my upper right side, I MAY need a bone graft (before a full course of Invisalign or braces) or...

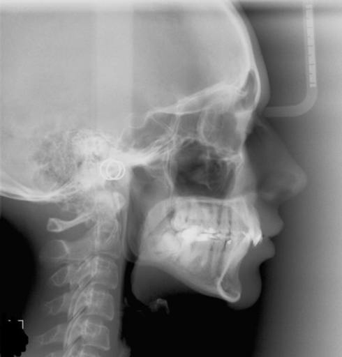
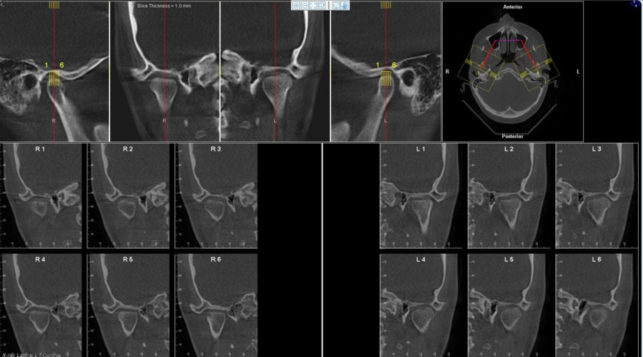
In this image of my condyles, do they appear normal/healthy or is there any bone loss?
Attached is an image of my condyles. Are they normal and healthy or Do you see any bone loss such as flattening or erosion of them? If there does appear to be some bone loss, how does this affect my bite and the appearance/position of my jaw?? Is...