Canker Sore

Canker sore gone rouge.

So for 4 weeks I've had this gone rouge canker sore. I'm getting it surgically removed in 2 months. It's so noticeable although it's in the inside of my bottom lip. I also wear bottom retainers and that makes the pain 2x worse. What can I do to reduce it or completely remove it. I've tried staying away from sugary or acidic food but that doesn't help, please help me.

Do you want to answer this question? Login or register now to answer this question.

No profile picture

Answer: Large canker sore

By Sarah h
Dental Professional

Unfortunately, this appears to be from trauma and will continue to get worse until it is removed.  The more inflammation, the easier it will be irritated.  If possible, try to move up your surgery appointment in order to reduce your waiting time.  Be sure to eliminate any acidic foods and regulary rinse with warm salt water.  You can placed orthodontic wax around your retainer to reduce the amount of rubbing against the sore as well.  There is also an over-the-counter medication called Tanac that can help to temporarily numb the sore and place a healing film over the top of it.  

More Questions from Orthognathic Surgery

Will jaw surgery correct my tongue thrust?

I have an open bite due to a tongue thrust I've had since I was a baby (I'm 22 now). My open bite has caused some issues like with trouble chewing, I have a slight lisp when I talk, I hate my smile and sometimes I find myself gasping for breath in...

Should I get jaw surgery?

Hello, I have an under bite, and while my braces were on, I was told to get jaw surgery. However, I rejected it at the time and so the orthodontists did their best to line up my teeth using braces. I now have my braces off, but I'm not completely...

Jaw Surgery Doesn't Feel Right - Le Fort

I recently had le fort I upper jaw advancement and feel like it isn’t right. Any help or advice is appreciated. I had braces at the age of 18 that camouflaged underlining issues with very narrow palate. I had many teeth removed growing up also. I...

Infraorbital nerve feeling after jaw surgery

A year ago I had jaw surgery, maxillary osteotomy. Since then, my upper teeth and gums had been numb. I knew regaining feeling would take time, but I never got many details about what that would be like. I've been having a lot of sinus pain and...

Surgery had on my 4 teeth and bone removed

My gums feel like they were cut up into nothing. there hurting , raw and sore.what can i do to help my gums to heal fast and assist them please. Pain medication isn't helping at all. The dr. had a hard time cutting teeth and bones out

My gum is growing over my teeth

Why are my gums growing over my bottom teeth? It hurts so bad I can barely take it. I have a very hard time brushing because they bleed.They also bleed, it hurts when I eat. Sometimes I wake up in the middle of the night and have blood on my pillows...

Do I require lefort 1 advancement?

I am 9 months post sarpe. My orthodontist said I should ask my surgeon if I should do lefort 1. My surgeon says I wouldn’t need lefort 1 advancement unless my ortho tilts my bottom front teeth out. What should I do and what questions and procedures...

Overjet? Braces? Is my upper jaw forward or my lower jaw back??

I am 26 yr old female and i have finally gathered the money to get my braces done. Over the years i have been told that my lower jaw is "pushed back" and it could cause problems when am older. The last orthodontist i went to, mentioned that i have...

Bone Grafting

Hello I am 42 years old and I recently had an orthodontic consultation where the orthodontist said that because I have a slight posterior cross bite on my upper right side, I MAY need a bone graft (before a full course of Invisalign or braces) or...

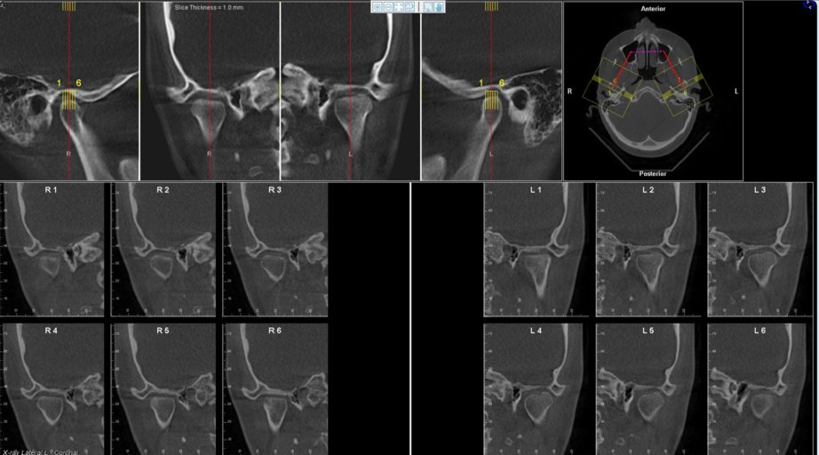
In this image of my condyles, do they appear normal/healthy or is there any bone loss?

Attached is an image of my condyles. Are they normal and healthy or Do you see any bone loss such as flattening or erosion of them? If there does appear to be some bone loss, how does this affect my bite and the appearance/position of my jaw?? Is...