Canker sores

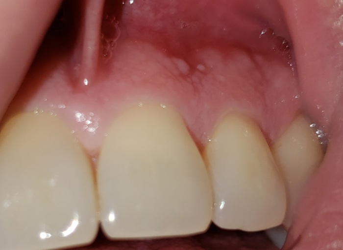
A few months ago I bought the 2 step crest whitening toothpaste...at the same time I had gotten 2 bad canker sores in my mouth with I thought was from eating something.... I stopped using the tooth paste for a while and started again about a week and a half ago nothing I have another bad canker sore in the same spot as the last one and a very sensitive Spong on my gums by my molar teeth which is about a inch long. When I touch it with my to get it almost feels like it's a blister like when you get burnt these spots are preventing me from eating, they wake me up... I have been using salt water, peroxide and a ora gel mouth wash that say promotes healing it's been about 5-6 days next week... Any help as to why I am getting these awful things how to treat then and how to stop them would be great

Do you want to answer this question? Login or register now to answer this question.

No profile picture

Answer: The Toothpaste Is Possibly The Culprit , Also Check Your Diet

By Sarah h
Dental Professional

Toothpastes and mouthwashes that contain Sodium Lauryl Sulfate have been known to cause canker sores.  However it is usually something in your diet that triggers them such as a chocolate, gum, or some other sensitivity you may have.   Stress is also a culprit as it weakens your immune system.   Try eliminating the new items in your diet such as that toothpaste for a month and see how it goes.  Best.

More Questions from General Dental

grinding teeth

my dentist was to fill one tooth but in the process which took a long time, I have found that two of my bottom teeth where the filling was done, the dentist also grounded down two of my teeth (without telling me) and now they are shorter than the...

Hole in a filling

I had a filling done on the side of a back tooth as there was a slight hole where a filling had been done many many years ago but had come away. The dentist noticed a hairline crack so filled this hole with a white filling and didn’t need to drill...

What procedure would help fix the gap and crooked of my two front teeth?

I have been living under fear and was a victim of bullying because of my teeth. They are very unaligned....the ones that concern me the most are the two front teeth they are crooked and there is a very wide noticeable gap there. I hate it and it's...

White Bumps - Harmless or Urgent?

I just noticed 3-4 days ago that I have tiny gums colored and white bumps near the roots of my teeth but in-between the teeth (primarily on the gingiva or border between gingiva and gums). They are semi hard and painless. Some appear in clusters. I...

Military and teeth

Im planning to enlist in the military however one needs to not have any dental treatment to join. Im planning on quitting wearing my retainers so I can enlist and I alreadly notice its starting to shift back. Now I cant put both of my Jaws lined up....

I have a deep overbite.

I have had a deep bite and no dentist wants to treat it. My top front teeth completely overlaps my bottom teeth, I have issues with speaking and eating. I have developed TMJD and a trainee dentist told me there is no way that my deep bite caused...

Back gum is swollen but doesn’t hurt no infection

My gum is a little swollen but it doesn’t hurt unless I move it or press on it it’s on my last back molar. Should I be worried? I can’t afford a dentist and have no insurance but I can eat fine and drink fine. Should I be super concerned I gargled...

Is the bump on my tongue cause for concern?

Hi, my name is Sarah, and I'm a 25-year-old female. I have a bump on the lateral right side of my tongue (see picture). In diameter, I'd say it's about the size of a pencil eraser. The other side of my tongue does not look like this at all. There's...

Should I get new braces? Can’t I just get new retainer?

I used braces for one and half years, then I got the plastic clear retainer and was told to wear it every night for 6 months. But, I always forgot to wear it then when I went back to my orthodontist, he told me to wear my retainer for another 3...

What are dental sealants supposed to feel like?

I had dental sealants on my molars when I was 7, I just got them redone at 22. Unfortunately, my molars where the sealants are placed feel very chalky, not slick like the rest of my teeth.But there aren’t bite problems or sharp pieces. I’m wondering...