Do I reall Need braces 2 more years

I need open bite sugery. i have had braces 2 times. The first time I finished it 18 months, then moved. My insurance changed so they said i would have to get a new referal to a oral surgon. So i went to the dentist and he said i should go to the orthodotist first and he knew a really good guy that was across the hall. The orthodontist said i would need braces again to align my teeth and close reopen bite before the surgery and would need a full round of braces and it would be 2500 after insurance. I was very surprised because my teeth looked very straight to me, but my mom said since the ortodontist said it i have to get braces again. so after i finished this my teeth looked exactly the same and i couldnt offers to do the sugery. now fast foward a few years. Im 21 now still on my moms insurance and i went to a new orthodontist to get a referral to a oral surgeon and The orthodontis said he didnt think braces could close my bite but I should get them any way to help align my teeth.

I told him that i had braces already and i really didnt want to do it a agin because there embarassing they hurt and i cant eat the stuff i like. So he said why don\'t you go to the oral surgeon first and see if he can do it without braces again. Then he left and went down the hall to go change some bands on a kid. The lady that doest the insurance came in and said that i could do 14 to 18 moths with the metal or ceramic braces and i told her that i thought i was just getting a referral. and she said she talked to the orthodontist and he said that i would need to get the braces first and the insurance said it would be 2000 for the metal and 2500 for the ceramic. and after having this huge weight drp to my stomach i asked well how much is the invisilign.

She said my insurance dosent cover it. But after she saw how sad i was by that she said but i can double check so she went and checked and came back and said it covers 1000 of it but the ortho dosnet think it will benifit u as well as the metal for your situation. but my hole thing is you didnt even talk to him because i can see him from wear im sitting and theres only one orthodontist here. and when i asked her why hes said that after telling me something else she said that he changed his mind after talking to the sugeon. But she didnt know that i could see that he had not gooten up that whiole time and that not enough tim had passed for him to do that anyway. so my question is are they just trying to get the money from me getting braces? and what should I do.ale

No answers so far.

Do you want to answer this question? Login or register now to answer this question.

More Questions from Orthognathic Surgery

Will jaw surgery correct my tongue thrust?

I have an open bite due to a tongue thrust I've had since I was a baby (I'm 22 now). My open bite has caused some issues like with trouble chewing, I have a slight lisp when I talk, I hate my smile and sometimes I find myself gasping for breath in...

Should I get jaw surgery?

Hello, I have an under bite, and while my braces were on, I was told to get jaw surgery. However, I rejected it at the time and so the orthodontists did their best to line up my teeth using braces. I now have my braces off, but I'm not completely...

Jaw Surgery Doesn't Feel Right - Le Fort

I recently had le fort I upper jaw advancement and feel like it isn’t right. Any help or advice is appreciated. I had braces at the age of 18 that camouflaged underlining issues with very narrow palate. I had many teeth removed growing up also. I...

Infraorbital nerve feeling after jaw surgery

A year ago I had jaw surgery, maxillary osteotomy. Since then, my upper teeth and gums had been numb. I knew regaining feeling would take time, but I never got many details about what that would be like. I've been having a lot of sinus pain and...

Surgery had on my 4 teeth and bone removed

My gums feel like they were cut up into nothing. there hurting , raw and sore.what can i do to help my gums to heal fast and assist them please. Pain medication isn't helping at all. The dr. had a hard time cutting teeth and bones out

My gum is growing over my teeth

Why are my gums growing over my bottom teeth? It hurts so bad I can barely take it. I have a very hard time brushing because they bleed.They also bleed, it hurts when I eat. Sometimes I wake up in the middle of the night and have blood on my pillows...

Do I require lefort 1 advancement?

I am 9 months post sarpe. My orthodontist said I should ask my surgeon if I should do lefort 1. My surgeon says I wouldn’t need lefort 1 advancement unless my ortho tilts my bottom front teeth out. What should I do and what questions and procedures...

Overjet? Braces? Is my upper jaw forward or my lower jaw back??

I am 26 yr old female and i have finally gathered the money to get my braces done. Over the years i have been told that my lower jaw is "pushed back" and it could cause problems when am older. The last orthodontist i went to, mentioned that i have...

Bone Grafting

Hello I am 42 years old and I recently had an orthodontic consultation where the orthodontist said that because I have a slight posterior cross bite on my upper right side, I MAY need a bone graft (before a full course of Invisalign or braces) or...

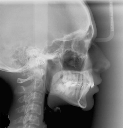
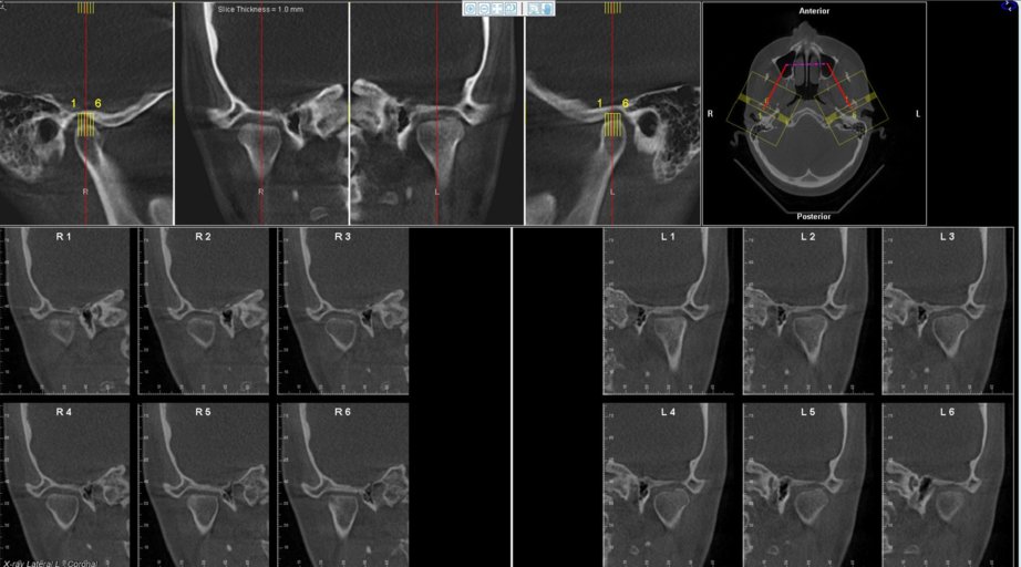
In this image of my condyles, do they appear normal/healthy or is there any bone loss?

Attached is an image of my condyles. Are they normal and healthy or Do you see any bone loss such as flattening or erosion of them? If there does appear to be some bone loss, how does this affect my bite and the appearance/position of my jaw?? Is...