Early Braces Removal
If my daughter gets her braces off too early will her teeth go back the way they were before braces? Here teeth were pretty bad and I'm worried they will shift.
Do you want to answer this question? Login or register now to answer this question.

Answer: Depends On Each Case and Your Orthodontist
By
Your orthodontist will make an educated decision when the right time to take braces off. This depends on several factors that will take the entire case into account. If there was significant movement involved to get teeth straight and the bite aligned correctly, than taking off braces too early can reduce the stability for post braces treatment. Stability is key to keeping the teeth from moving back to where they started from.
In all cases it is extremely important to wear the retainers as directed by your orthodontist. The retainers are an integral part of the orthodontic treatment and sometimes neglected by younger patients as well as adults. If you browse our site and the braces forums you will see many adults that had to get braces again due to not wearing their retainers as directed. The fact is that teeth are always moving throughout our lives.
Retainers are a direct mold of your teeth once the braces are taken off and designed to hold you in place. Your orthodontist will decide on an appointment-by-appointment basis when it is appropriate to make the retainer and prepare for braces removal.
We understand that teenagers and adults alike want to know when the braces are coming off or how long they have to wear them. An orthodontist can only give estimates. While some people see results quicker than others each case is different.
In the end, patients most always say the time spent with braces on was well worth it and they love the results. We cannot stress enough and we hope that all orthodontist really make it a point to emphasize the importance of retainers post braces.

Answer: Teeth May Move If Treatment Is Not Complete
By
If the treatment is not complete. There is a good chance that your daughter teeth will move. If her teeth were bad at the beginning, by correcting them with braces was a good choice. Most treatment last between 2-4 years. All cases are different. If you are going to remove the braces before the treatment is finish, try to get a retainer for the top and bottom. A retainer will hold the teeth in place for now. It takes one year for the gum tissues to get firm again. You can get a removable retainer or permanent retainer which is cemented behind the lower six teeth and same goes for the upper teeth. This is a more permanant solution than having a removable as you won"t have to remember to wear it and or loose it. The best solution is try and convince her to complete the treatment because as she gets older it is harder to move the teeth and can lead to more complicating problems with the teeth and gum (periodontal disease).
More Questions from Orthognathic Surgery

Will jaw surgery correct my tongue thrust?
I have an open bite due to a tongue thrust I've had since I was a baby (I'm 22 now). My open bite has caused some issues like with trouble chewing, I have a slight lisp when I talk, I hate my smile and sometimes I find myself gasping for breath in...

Should I get jaw surgery?
Hello, I have an under bite, and while my braces were on, I was told to get jaw surgery. However, I rejected it at the time and so the orthodontists did their best to line up my teeth using braces. I now have my braces off, but I'm not completely...

Jaw Surgery Doesn't Feel Right - Le Fort
I recently had le fort I upper jaw advancement and feel like it isn’t right. Any help or advice is appreciated. I had braces at the age of 18 that camouflaged underlining issues with very narrow palate. I had many teeth removed growing up also. I...

Infraorbital nerve feeling after jaw surgery
A year ago I had jaw surgery, maxillary osteotomy. Since then, my upper teeth and gums had been numb. I knew regaining feeling would take time, but I never got many details about what that would be like. I've been having a lot of sinus pain and...

Surgery had on my 4 teeth and bone removed
My gums feel like they were cut up into nothing. there hurting , raw and sore.what can i do to help my gums to heal fast and assist them please. Pain medication isn't helping at all. The dr. had a hard time cutting teeth and bones out

My gum is growing over my teeth
Why are my gums growing over my bottom teeth? It hurts so bad I can barely take it. I have a very hard time brushing because they bleed.They also bleed, it hurts when I eat. Sometimes I wake up in the middle of the night and have blood on my pillows...

Do I require lefort 1 advancement?
I am 9 months post sarpe. My orthodontist said I should ask my surgeon if I should do lefort 1. My surgeon says I wouldn’t need lefort 1 advancement unless my ortho tilts my bottom front teeth out. What should I do and what questions and procedures...

Overjet? Braces? Is my upper jaw forward or my lower jaw back??
I am 26 yr old female and i have finally gathered the money to get my braces done. Over the years i have been told that my lower jaw is "pushed back" and it could cause problems when am older. The last orthodontist i went to, mentioned that i have...

Bone Grafting
Hello I am 42 years old and I recently had an orthodontic consultation where the orthodontist said that because I have a slight posterior cross bite on my upper right side, I MAY need a bone graft (before a full course of Invisalign or braces) or...

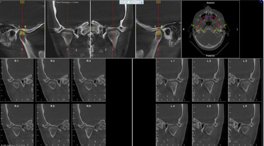
In this image of my condyles, do they appear normal/healthy or is there any bone loss?
Attached is an image of my condyles. Are they normal and healthy or Do you see any bone loss such as flattening or erosion of them? If there does appear to be some bone loss, how does this affect my bite and the appearance/position of my jaw?? Is...