I am confused by a long list of planned procedures suggested by dentist.
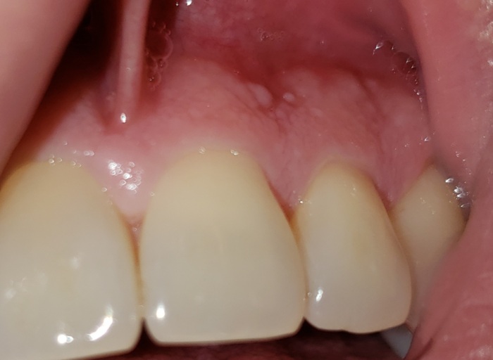
Hello, I've been given an extensive list of Dental procedures broken up into three sections. I have no clue as to which procedures are necessary and which are not. The first section lists the "necessary" procedures for cleaning my teeth. All I want is a simple teeth cleaning, the one you get twice a year from a hygienist. The dentist office gives me an extensive list of necessary procedures as part of their "Deep Cleaning 3-step Process" to treat periodontal disease. Here is a list of their "necessary" procedures: --Chlorohexidine --Flouride varnish --Perio RT Planing/QD, Surface UR --Antibact Irr/Quad, Surface UR --Perio RP 1-3 Th/Quad, Surface UL --Antibact Irr/Quad, Surface LL --Perio RP 1-3 Th/Quad, Surface LL --Perio RT Planing, Qd, Surface LR --Antibact Irr/Quad, Surface LR --And Finally, four laser treatments on Surfaces UR, UL, LL, LR. The next section lists procedures to provide fillings for two teeth. They are as follows: --Composite Post 2 Sur, tooth 31, Surface: OD --Composite Post 1 Sur, tooth 31, Surface: B5 I'm assuming that "Sur" stands for surface. However I'm unclear what the procedures mean overall. The third section is treatment for the extraction of three teeth that they say cannot be saved. The procedures are as follows: --Surg Extract (Spec) tooth 17 --Bonegraft Ext (Spec), tooth 18 --Surg Extract (Spec), tooth 18 --Rem Part Bony (Spec), tooth 33 I realize that any information you provide is limited without examining the x-rays and any other diagnostics. I just hope you'll be able to provide at least SOME help in (1.) Untanding these terms and (2.) Knowing the level of importance for each procedure. I really want to make an informed decision. Any assistance you can provide is more than I already have. Thank you for your time! Lee Griffin LeeG.Entertaiment@yahoo.com 713-825-5334
Do you want to answer this question? Login or register now to answer this question.

Answer: Understanding your treatment plan
By Sarah h
Dental Professional
If you have been diagnosed with needing a deep cleaning, scaling and root planning, unfortunately performing a simple cleaning (prophy) will be a disservice to you. Scaling is diagnosed using both dental xrays as well as periodontal charting. You may remember hearing the hygienist or dentist calling out numbers between 1-6 or higher. Any number above a 3 indicates inflammation and the presence of disease. You are unable to clean any pocket deeper than 3mm with a toothbrush or dental aid. Therefore, scaling is necessary to remove the deposits and bacteria in the pockets. Chlorohexadine is an antimicrobial medicament that is used to flush out the bacteria once it is broken from the deposits deep within the pockets of inflammed tissue. The laser is optional, but suggested as it helps with reducing the unhealthy pocket so it is more manageable for you to keep clean at home and also reduces the healing time.
The fillings are necessary and will restore the tooth after the decay is removed. The tooth number 31 is on the lower right and is a 2 surface restoration, DO. This involves the chewing surface of the tooth and the distal portion of the tooth which is the surface farthest away from the front of your mouth. There is another cavity on the same tooth, #31 on the buccal or cheek surface closest to the gumline. Resin is the description of the tooth colored filling material. Tooth #17 is a wisdom tooth, tooth #18 is directly in front of it, both are on the lower left side of your mouth. Bone grafts are optional, however they are the standard of care and will place bone in the area where the tooth is removed. This will cover the extraction site, aid in healing and place bone back over where the alveolar nerve rests. There is no tooth #33, unless you have an additional wisdom tooth on the lower right. Most adults only have one set of wisdom teeth which include teeth #'s 1, 16, 17 and 32.
Hope this helps you in deciding which treatment is necessary and what best fits your schedule.
More Questions from General Dental

grinding teeth
my dentist was to fill one tooth but in the process which took a long time, I have found that two of my bottom teeth where the filling was done, the dentist also grounded down two of my teeth (without telling me) and now they are shorter than the...

Hole in a filling
I had a filling done on the side of a back tooth as there was a slight hole where a filling had been done many many years ago but had come away. The dentist noticed a hairline crack so filled this hole with a white filling and didn’t need to drill...

What procedure would help fix the gap and crooked of my two front teeth?
I have been living under fear and was a victim of bullying because of my teeth. They are very unaligned....the ones that concern me the most are the two front teeth they are crooked and there is a very wide noticeable gap there. I hate it and it's...

White Bumps - Harmless or Urgent?
I just noticed 3-4 days ago that I have tiny gums colored and white bumps near the roots of my teeth but in-between the teeth (primarily on the gingiva or border between gingiva and gums). They are semi hard and painless. Some appear in clusters. I...

Military and teeth
Im planning to enlist in the military however one needs to not have any dental treatment to join. Im planning on quitting wearing my retainers so I can enlist and I alreadly notice its starting to shift back. Now I cant put both of my Jaws lined up....

I have a deep overbite.
I have had a deep bite and no dentist wants to treat it. My top front teeth completely overlaps my bottom teeth, I have issues with speaking and eating. I have developed TMJD and a trainee dentist told me there is no way that my deep bite caused...

Back gum is swollen but doesn’t hurt no infection
My gum is a little swollen but it doesn’t hurt unless I move it or press on it it’s on my last back molar. Should I be worried? I can’t afford a dentist and have no insurance but I can eat fine and drink fine. Should I be super concerned I gargled...

Is the bump on my tongue cause for concern?
Hi, my name is Sarah, and I'm a 25-year-old female. I have a bump on the lateral right side of my tongue (see picture). In diameter, I'd say it's about the size of a pencil eraser. The other side of my tongue does not look like this at all. There's...

Should I get new braces? Can’t I just get new retainer?
I used braces for one and half years, then I got the plastic clear retainer and was told to wear it every night for 6 months. But, I always forgot to wear it then when I went back to my orthodontist, he told me to wear my retainer for another 3...

What are dental sealants supposed to feel like?
I had dental sealants on my molars when I was 7, I just got them redone at 22. Unfortunately, my molars where the sealants are placed feel very chalky, not slick like the rest of my teeth.But there aren’t bite problems or sharp pieces. I’m wondering...