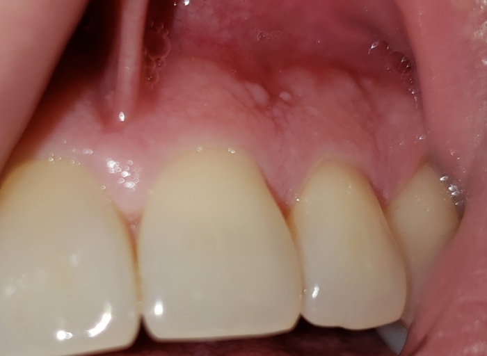
I am worried about swollen gums and white goo between a couple of teeth.
Hello, I always floss at least twice a day, sometimes more often, and I don\'t drink soda or eat sweets. I made the mistake of switching to a non-fluoride toothpaste for a couple of weeks, after which I started noticing (only when flossing) a persistent white sticky, gooey stuff surrounding a couple of teeth in a certain area of my mouth. This was occurring by a tooth that simultaneously started feeling slightly loose (not visible to the eye but where I feel it with my tongue). I immediately switched back to a fluoride toothpaste, and now I floss even after snacks (anytime I consume food), giving special attention to this area. I have to floss these particular teeth between the gums over and over again until I no longer see the white stuff, which takes a long time, and then I swish with mouthwash and brush (in circles) with a fluoride toothpaste. I even bought a new soft-bristled toothbrush. Where the white stuff is appearing, I have gum recession on one particular tooth and an exposed nerve, but the rest of my mouth is in good shape. The gums in this area appear a slightly swollen and slightly pulled away from the teeth (because I am getting close to the mirror and really examining them), but they aren\'t bright red, and they don\'t bleed, no matter how much I floss them. They do throb after I\'m done, though. I\'m freaking out because I am a volunteer in a genetic study that periodically tests my DNA for predispositions to various diseases, and I was told that I have ZERO protective genes for periodontitis. I\'m 38 years old, and I\'ve never had a cavity or root canal (seriously), and I don\'t have problems with bad breath. I also had a routine dental cleaning five months ago, and I have another scheduled for next month. Please advise. What is going on?? I don\'t want additional gum recession, and I certainly don\'t want to loose my teeth or need a root canal. I am taking better care of my teeth than most people I know, so I feel like this is unfair, and I don\'t know what else to do.
No answers so far.
Do you want to answer this question? Login or register now to answer this question.
More Questions from General Dental
 
									
				                grinding teeth
my dentist was to fill one tooth but in the process which took a long time, I have found that two of my bottom teeth where the filling was done, the dentist also grounded down two of my teeth (without telling me) and now they are shorter than the...
 
									
				                Hole in a filling
I had a filling done on the side of a back tooth as there was a slight hole where a filling had been done many many years ago but had come away. The dentist noticed a hairline crack so filled this hole with a white filling and didn’t need to drill...
 
									
				                What procedure would help fix the gap and crooked of my two front teeth?
I have been living under fear and was a victim of bullying because of my teeth. They are very unaligned....the ones that concern me the most are the two front teeth they are crooked and there is a very wide noticeable gap there. I hate it and it's...
 
									
				                White Bumps - Harmless or Urgent?
I just noticed 3-4 days ago that I have tiny gums colored and white bumps near the roots of my teeth but in-between the teeth (primarily on the gingiva or border between gingiva and gums). They are semi hard and painless. Some appear in clusters. I...
 
									
				                Military and teeth
Im planning to enlist in the military however one needs to not have any dental treatment to join. Im planning on quitting wearing my retainers so I can enlist and I alreadly notice its starting to shift back. Now I cant put both of my Jaws lined up....
 
									
				                I have a deep overbite.
I have had a deep bite and no dentist wants to treat it. My top front teeth completely overlaps my bottom teeth, I have issues with speaking and eating. I have developed TMJD and a trainee dentist told me there is no way that my deep bite caused...
 
									
				                Back gum is swollen but doesn’t hurt no infection
My gum is a little swollen but it doesn’t hurt unless I move it or press on it it’s on my last back molar. Should I be worried? I can’t afford a dentist and have no insurance but I can eat fine and drink fine. Should I be super concerned I gargled...
 
									
				                Is the bump on my tongue cause for concern?
Hi, my name is Sarah, and I'm a 25-year-old female. I have a bump on the lateral right side of my tongue (see picture). In diameter, I'd say it's about the size of a pencil eraser. The other side of my tongue does not look like this at all. There's...
 
									
				                Should I get new braces? Can’t I just get new retainer?
I used braces for one and half years, then I got the plastic clear retainer and was told to wear it every night for 6 months. But, I always forgot to wear it then when I went back to my orthodontist, he told me to wear my retainer for another 3...
 
									
				                What are dental sealants supposed to feel like?
I had dental sealants on my molars when I was 7, I just got them redone at 22. Unfortunately, my molars where the sealants are placed feel very chalky, not slick like the rest of my teeth.But there aren’t bite problems or sharp pieces. I’m wondering...
