I might have a cracked tooth, how would that be treated?

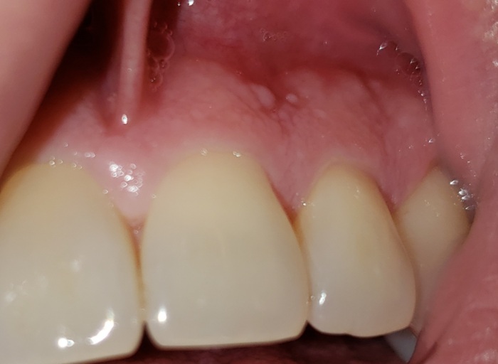
So I've recently felt with my tongue that I have some sort of small crack on one of my upper left molars. It doesn't hurt but it does react if I breath in heavily. But again this reaction isn't necessarily painful just not normal. As far as I can tell the crack is on the inward part of my mouth and it doesn't reach the gum line. I'm going to get it checked out in two days but I was wounding how would something like this be treated?

Do you want to answer this question? Login or register now to answer this question.

No profile picture

Answer: How To Treat A Cracked Tooth

By Sarah h
Dental Professional

It sounds like you may be describing the lingual groove. This is a natural part of the dental anatomy that runs from the occlusal (chewing) surface, about halfway down towards the gum line on the lingual portion (tongue side) of upper posterior teeth. You may have a cavity forming in that area which could cause some sensitivity, but not necessarily pain. If your dentist determines you need a restoration, it will depend on the extent of the damage. More than likely if it is small, a composite or resin based filling material can be used. If it is larger, you may need a full coverage zirconia or porcelain crown to restore the tooth back to full function. Until you are seen by your dentist, stick to a softer diet avoiding any nuts, seeds, granola, and hard or sticky candies.

More Questions from General Dental

grinding teeth

my dentist was to fill one tooth but in the process which took a long time, I have found that two of my bottom teeth where the filling was done, the dentist also grounded down two of my teeth (without telling me) and now they are shorter than the...

Hole in a filling

I had a filling done on the side of a back tooth as there was a slight hole where a filling had been done many many years ago but had come away. The dentist noticed a hairline crack so filled this hole with a white filling and didn’t need to drill...

What procedure would help fix the gap and crooked of my two front teeth?

I have been living under fear and was a victim of bullying because of my teeth. They are very unaligned....the ones that concern me the most are the two front teeth they are crooked and there is a very wide noticeable gap there. I hate it and it's...

White Bumps - Harmless or Urgent?

I just noticed 3-4 days ago that I have tiny gums colored and white bumps near the roots of my teeth but in-between the teeth (primarily on the gingiva or border between gingiva and gums). They are semi hard and painless. Some appear in clusters. I...

Military and teeth

Im planning to enlist in the military however one needs to not have any dental treatment to join. Im planning on quitting wearing my retainers so I can enlist and I alreadly notice its starting to shift back. Now I cant put both of my Jaws lined up....

I have a deep overbite.

I have had a deep bite and no dentist wants to treat it. My top front teeth completely overlaps my bottom teeth, I have issues with speaking and eating. I have developed TMJD and a trainee dentist told me there is no way that my deep bite caused...

Back gum is swollen but doesn’t hurt no infection

My gum is a little swollen but it doesn’t hurt unless I move it or press on it it’s on my last back molar. Should I be worried? I can’t afford a dentist and have no insurance but I can eat fine and drink fine. Should I be super concerned I gargled...

Is the bump on my tongue cause for concern?

Hi, my name is Sarah, and I'm a 25-year-old female. I have a bump on the lateral right side of my tongue (see picture). In diameter, I'd say it's about the size of a pencil eraser. The other side of my tongue does not look like this at all. There's...

Should I get new braces? Can’t I just get new retainer?

I used braces for one and half years, then I got the plastic clear retainer and was told to wear it every night for 6 months. But, I always forgot to wear it then when I went back to my orthodontist, he told me to wear my retainer for another 3...

What are dental sealants supposed to feel like?

I had dental sealants on my molars when I was 7, I just got them redone at 22. Unfortunately, my molars where the sealants are placed feel very chalky, not slick like the rest of my teeth.But there aren’t bite problems or sharp pieces. I’m wondering...