Impact canines

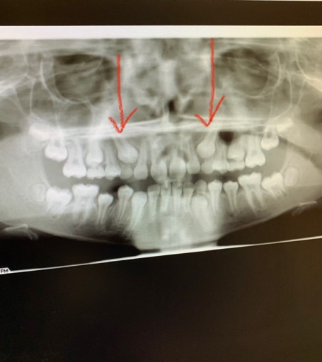
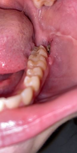
\\\"My son is 12 years old. He has two impact canines. Pulled his baby ones, put him in braces due to over crowding bottom and over bite. Now we need to make the hard decision to pull his adult lateral teeth to make room for the canine to come down. The oral surgent is suggesting this due to the position of the canine. I wish we can save them all, but he is saying it\\\'s a big surgery, it could cause damage to some roots of heathy teeth, and there\\\'s a good possibility they won\\\'t come down. The canines are lying vertical with the tips petruding between the front teeth and the lateral. He says by pulling the teeth they will easily come down with the least amount of surgery and the best outcome. What do you think? There\\\'s nothing like having your own teeth , but is the surgery worth the risk or should I just pull the laterals?

Do you want to answer this question? Login or register now to answer this question.

No profile picture

Answer: Pull the canine teeth down

By

I would suggest you have your son have the sugery where they put brackets (brace) on the caninie and pull them down. I beleive in having your own teeth too.

We have done a few cases just like your son and they were successful.

They will expose the canine and slowly pull them down. You will need to wait till all the teeth are quite lined up and have the room to pull the canine teeth down.

If you feel not comfortable, get a 2nd opinion.

Good Luck and tell your son that all this is worth it to having the perfect smile for the rest of his life

More Questions from Dental Surgery

Is the a dry socket or normal healing?

got pulled 3 days ago curious whether or not it’s a dry socket isn’t into much pain I would really appreciate if someone would answer. feels normal just wondering has stitches around it. not to deep of a hole.

will my bone graft surgery help minimize my periodontal pocket?

I have a tooth that is coming out, my dentist said he will be doing a deep cleaning, a sinus lift and bone graft before he places an implant and crown. I noticed that there is spacing in that tooth and the one next to it, will the bone graft and...

Is this an infection?

I just had all 4 wisdom teeth removed 3 days ago and this is on the bottom left side and I can’t tell what it is. It is only on the left bottom side and from trying to look it up on the internet I can’t tell if it’s an infection or not.

Jaw Bone Showing After Wisdom Tooth Extraction

Hello! One week ago I have two wisdom teeth removed, both being on the same side of my mouth. I had an infection on my bottom wisdom tooth and was given antibiotics prior to the extraction. Since the surgery, I have had dull pain from that one...

Do I need a biopsy? Is this a mucucele?

See pics please. This is soft to the touch. Been there a few years. I thought is was a blocked saliva duct but now it has the dark area beneath it which is new. Of note. About 6 years ago a general dentist said to keep an eye on it for any...

Why Am I Missing Roots on My Wisdom Teeth?

I'm having my wisdom teeth taken out soon. I was told that none of the four wisdom teeth have roots. I even saw the x rays, and it just looked like the top of a normal molar. They have not broken through the gums yet, but they felt I needed them out...

Help! Might need wisdom teeth removal during coronavirus.

Hello so I have had jaw pain and my wisdom teeth have needed to be removed. What should I do, all oral surgeons are closed due to COVID-19. Help please I am very nervous! My jaw seems a little swollen and I am worried it might spread!

Impacted Canines

What is the procedure for impacted Canines that are at the top only for both canines and they are in the top of the gums on the outside (not in palette). I have an X-ray. ITS FOR MY DAUGHTER... 12 years old and 2 months.

Wisdom Tooth Removal, Infection?

I got my wisdom teeth removed on January 8th (it is now Jan 23) and I'm not sure if I'm healing properly. I am unable to visit my oral surgeon again, as I attend school out of state from where I had the procedure otherwise I would go in for a quick...

Underbite Worsening with Age and Correction Options

I had an underbite that orthodontists originally expected to correct itself. I got braces in 4th grade (about 9-10 years old) to correct a large gap due to two missing teeth (genetic, not caused by trauma) and then the orthodontist added a palette...