
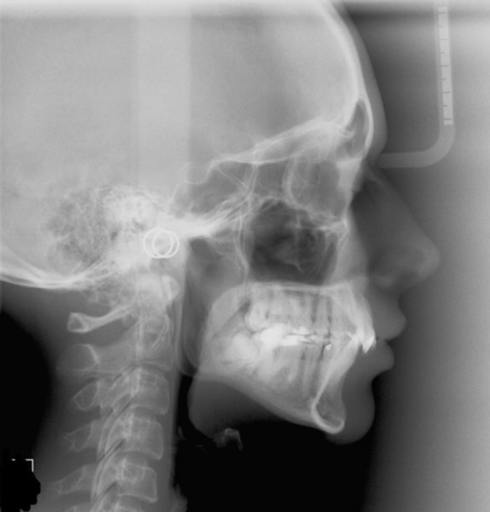
Impacted tooth number 6
Is orthodontia appropriate for an adult with a permanent impacted tooth number 6? I am 59 and have had a baby tooth in place until recently when it broke at the gumline. The baby tooth root is giving me no pain so i am assuming the nerve is dead or nonexistent. The permanent tooth is impacted in the bone above it and it is angled and close to horizontal. My overall dental health is excellent. I floss regularly, I Have regular cleanings, a few fillings and two crowns. I've been told that I should have an implant but that in order to have it, the impacted tooth #6 must be removed via oral surgery. Then I must have bone restored to the affected area, then I will be ready for an implant. The other option I was given was to have the root of the baby tooth removed and have a bridge. I'm ok with the idea of an implant but not with the idea of a bridge as I do not want to compromise perfectly good teeth to a bridge. I don't understand why we cannot just use an ortho type procedure to bring down the permanent tooth. This option was not mentioned and It seems plausible and logical to me. I plan to ask my dentist about it after I discover additional information. Thanks for any advice you can give me re this dilemma. Marie
Do you want to answer this question? Login or register now to answer this question.

Answer: Impacted tooth #6
By Sarah h
Dental Professional
Orthodontics is the best option if the tooth will move into position. Sometimes despite the orthodontists best efforts, the tooth will not move into position. In order to have a comprehensive evaluation and best determine your options for implant versus if orthodontics is an option you will need a CT scan. This will give all the providers the best view of the tooths current position and they can formulate the best treatment options to you. Suggest that orthodontics is an interest for you to your provider and ask for a referral to set up a consultation. If orthodontics is not an option, the implant is the best option over the bridge and it is the closest restoration to your natural tooth.
More Questions from Orthognathic Surgery

Will jaw surgery correct my tongue thrust?
I have an open bite due to a tongue thrust I've had since I was a baby (I'm 22 now). My open bite has caused some issues like with trouble chewing, I have a slight lisp when I talk, I hate my smile and sometimes I find myself gasping for breath in...

Should I get jaw surgery?
Hello, I have an under bite, and while my braces were on, I was told to get jaw surgery. However, I rejected it at the time and so the orthodontists did their best to line up my teeth using braces. I now have my braces off, but I'm not completely...

Jaw Surgery Doesn't Feel Right - Le Fort
I recently had le fort I upper jaw advancement and feel like it isn’t right. Any help or advice is appreciated. I had braces at the age of 18 that camouflaged underlining issues with very narrow palate. I had many teeth removed growing up also. I...

Infraorbital nerve feeling after jaw surgery
A year ago I had jaw surgery, maxillary osteotomy. Since then, my upper teeth and gums had been numb. I knew regaining feeling would take time, but I never got many details about what that would be like. I've been having a lot of sinus pain and...

Surgery had on my 4 teeth and bone removed
My gums feel like they were cut up into nothing. there hurting , raw and sore.what can i do to help my gums to heal fast and assist them please. Pain medication isn't helping at all. The dr. had a hard time cutting teeth and bones out

My gum is growing over my teeth
Why are my gums growing over my bottom teeth? It hurts so bad I can barely take it. I have a very hard time brushing because they bleed.They also bleed, it hurts when I eat. Sometimes I wake up in the middle of the night and have blood on my pillows...

Do I require lefort 1 advancement?
I am 9 months post sarpe. My orthodontist said I should ask my surgeon if I should do lefort 1. My surgeon says I wouldn’t need lefort 1 advancement unless my ortho tilts my bottom front teeth out. What should I do and what questions and procedures...

Overjet? Braces? Is my upper jaw forward or my lower jaw back??
I am 26 yr old female and i have finally gathered the money to get my braces done. Over the years i have been told that my lower jaw is "pushed back" and it could cause problems when am older. The last orthodontist i went to, mentioned that i have...

Bone Grafting
Hello I am 42 years old and I recently had an orthodontic consultation where the orthodontist said that because I have a slight posterior cross bite on my upper right side, I MAY need a bone graft (before a full course of Invisalign or braces) or...

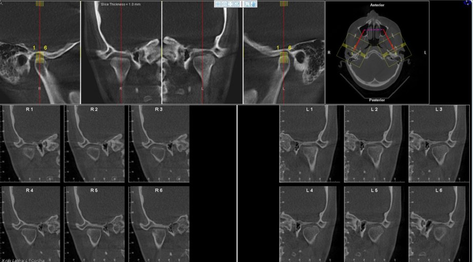
In this image of my condyles, do they appear normal/healthy or is there any bone loss?
Attached is an image of my condyles. Are they normal and healthy or Do you see any bone loss such as flattening or erosion of them? If there does appear to be some bone loss, how does this affect my bite and the appearance/position of my jaw?? Is...