Is a cyst or bump on the gums always a tooth infection?
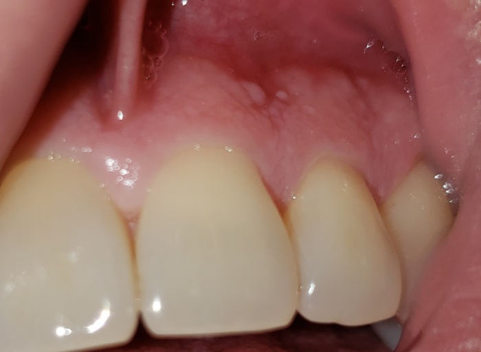
I have had a small, clear, painless blister or cyst on my lower inner gum, close to my last molar that keeps coming back. It started as a tiny bump that grew slowly in several days and became ever so slightly irritated. I ended up popping it with my finger (maybe slightly salty tasting). The next day it grew back to a tiny bump. The area around it is also a bit redder than the other side. But I have no pain in any teeth. I went to the dentist (after not going for years), worried about an abscess. He tried to look at the area, but couldn't see much and did not seem concerned -- said things look normal to him. But, at the time it was only minimally flared up. He did x-rays and full exam and said everything looked good with my teeth and fillings. His only diagnosis was that I most likely grind my teeth at night. But, I don't see how that can be related to this? It's an area behind all teeth. It will go flat after I pop it, but then keeps coming back a day (or 2 days) later (had it for 3+ weeks now). It will sometimes even seem to go away almost completely for a couple days, but always comes back. It still doesn't hurt, but when it's back it's very noticeable and bothersome when my tongue hits it. Could the dentist have missed an infection of some kind? Should I get a second opinion from another kind of Dr?
No answers so far.
Do you want to answer this question? Login or register now to answer this question.
More Questions from General Dental

grinding teeth
my dentist was to fill one tooth but in the process which took a long time, I have found that two of my bottom teeth where the filling was done, the dentist also grounded down two of my teeth (without telling me) and now they are shorter than the...

Hole in a filling
I had a filling done on the side of a back tooth as there was a slight hole where a filling had been done many many years ago but had come away. The dentist noticed a hairline crack so filled this hole with a white filling and didn’t need to drill...

What procedure would help fix the gap and crooked of my two front teeth?
I have been living under fear and was a victim of bullying because of my teeth. They are very unaligned....the ones that concern me the most are the two front teeth they are crooked and there is a very wide noticeable gap there. I hate it and it's...

White Bumps - Harmless or Urgent?
I just noticed 3-4 days ago that I have tiny gums colored and white bumps near the roots of my teeth but in-between the teeth (primarily on the gingiva or border between gingiva and gums). They are semi hard and painless. Some appear in clusters. I...

Military and teeth
Im planning to enlist in the military however one needs to not have any dental treatment to join. Im planning on quitting wearing my retainers so I can enlist and I alreadly notice its starting to shift back. Now I cant put both of my Jaws lined up....

I have a deep overbite.
I have had a deep bite and no dentist wants to treat it. My top front teeth completely overlaps my bottom teeth, I have issues with speaking and eating. I have developed TMJD and a trainee dentist told me there is no way that my deep bite caused...

Back gum is swollen but doesn’t hurt no infection
My gum is a little swollen but it doesn’t hurt unless I move it or press on it it’s on my last back molar. Should I be worried? I can’t afford a dentist and have no insurance but I can eat fine and drink fine. Should I be super concerned I gargled...

Is the bump on my tongue cause for concern?
Hi, my name is Sarah, and I'm a 25-year-old female. I have a bump on the lateral right side of my tongue (see picture). In diameter, I'd say it's about the size of a pencil eraser. The other side of my tongue does not look like this at all. There's...

Should I get new braces? Can’t I just get new retainer?
I used braces for one and half years, then I got the plastic clear retainer and was told to wear it every night for 6 months. But, I always forgot to wear it then when I went back to my orthodontist, he told me to wear my retainer for another 3...

What are dental sealants supposed to feel like?
I had dental sealants on my molars when I was 7, I just got them redone at 22. Unfortunately, my molars where the sealants are placed feel very chalky, not slick like the rest of my teeth.But there aren’t bite problems or sharp pieces. I’m wondering...