Is there anyway to move the maxilla backwards, for flaring gums?
I have a 10mm overbite with flaring upper gums. I also have traits of "long face syndrome", where the mid to lower face is longer in appearence. My cephalometric xrays reveals the soft tissue of my upper gums sticking outwards. My upper lip is suppose to curve inwards, but it curves outwards due to the gums that stick out. It's not necessarily the gums, but the teeth stick out, even with orthodontic treatment there is nothing that can fix this short of surgery. My chin angles downwards which gives me a longer lower face. I have gone to consultations with other orthodontists and oral and maxillofacial surgeon who agree I need lower jaw surgery but are mixed on my upper jaw. If I get the upper jaw, this could pose problems as my current smile, I barely show enough front teeth, and by impaction of the upper jaw, it would make it worse, I would barely show enough front teeth when I smile.
However, the LeForte I procedure would help autorotate my lower jaw upwards, bring out my chin more, shorten my face, and I believe it would help with the flaring out gums? This at the cost of the smile. Which I believe can later be surgically fixed by shortening the upper lip. My face is contoured right now such that it's one big curve from my chin to bottom of my nose, I absolutely have no chin, so I would maybe need a genioplasty as well. So my question is, the upper jaw surgery, can fix all these issues? I have photographs. http://xxryanxxl.imgur.com/ Something just does not look right with this upper jaw. I'm trying to find a solution and there is no procedure to allow the upper jaw to go backwards.
No answers so far.
Do you want to answer this question? Login or register now to answer this question.
More Questions from Dental Surgery

Is the a dry socket or normal healing?
got pulled 3 days ago curious whether or not it’s a dry socket isn’t into much pain I would really appreciate if someone would answer. feels normal just wondering has stitches around it. not to deep of a hole.

will my bone graft surgery help minimize my periodontal pocket?
I have a tooth that is coming out, my dentist said he will be doing a deep cleaning, a sinus lift and bone graft before he places an implant and crown. I noticed that there is spacing in that tooth and the one next to it, will the bone graft and...

Is this an infection?
I just had all 4 wisdom teeth removed 3 days ago and this is on the bottom left side and I can’t tell what it is. It is only on the left bottom side and from trying to look it up on the internet I can’t tell if it’s an infection or not.

Jaw Bone Showing After Wisdom Tooth Extraction
Hello! One week ago I have two wisdom teeth removed, both being on the same side of my mouth. I had an infection on my bottom wisdom tooth and was given antibiotics prior to the extraction. Since the surgery, I have had dull pain from that one...

Do I need a biopsy? Is this a mucucele?
See pics please. This is soft to the touch. Been there a few years. I thought is was a blocked saliva duct but now it has the dark area beneath it which is new. Of note. About 6 years ago a general dentist said to keep an eye on it for any...

Why Am I Missing Roots on My Wisdom Teeth?
I'm having my wisdom teeth taken out soon. I was told that none of the four wisdom teeth have roots. I even saw the x rays, and it just looked like the top of a normal molar. They have not broken through the gums yet, but they felt I needed them out...

Help! Might need wisdom teeth removal during coronavirus.
Hello so I have had jaw pain and my wisdom teeth have needed to be removed. What should I do, all oral surgeons are closed due to COVID-19. Help please I am very nervous! My jaw seems a little swollen and I am worried it might spread!

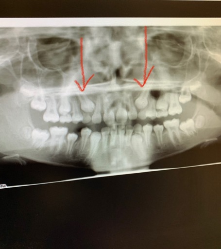
Impacted Canines
What is the procedure for impacted Canines that are at the top only for both canines and they are in the top of the gums on the outside (not in palette). I have an X-ray. ITS FOR MY DAUGHTER... 12 years old and 2 months.

Wisdom Tooth Removal, Infection?
I got my wisdom teeth removed on January 8th (it is now Jan 23) and I'm not sure if I'm healing properly. I am unable to visit my oral surgeon again, as I attend school out of state from where I had the procedure otherwise I would go in for a quick...

Underbite Worsening with Age and Correction Options
I had an underbite that orthodontists originally expected to correct itself. I got braces in 4th grade (about 9-10 years old) to correct a large gap due to two missing teeth (genetic, not caused by trauma) and then the orthodontist added a palette...