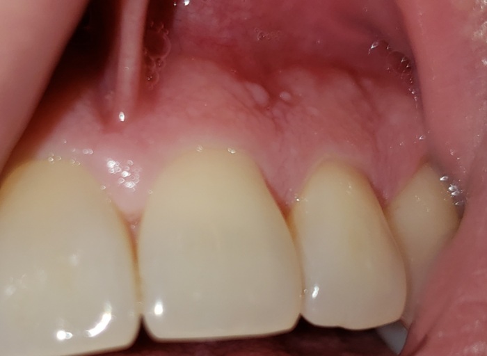
May someone give me answers about my current state of gingivitis/imperfect teeth etc.?
My dentist which is also my orthodontist gave me braces many years ago and at a certain time he gave me elastics and I was not serious about wearing them I was only once since he was mad and unhappy and so it prolonged my treatment for too long. And now he removed them I have straight teeth but not perfect teeth. When I had braces I never flossed I brushed once a day and sometimes I simply didn't brush, and when I did brush I didn't do it correctly and only for half a minute. Ever since he removed my braces and I saw how magnificent my teeth are I'm brushing 2-3 times a day I floss everyday I use mouthwash and since I had such a bad hygiene everyone told me I had bad breath and my gums got swelled and I think I got gingivitis and it won't go away it's been 1-2 weeks I got them removed. And now, My upper right canine is more straight then my left one.
My upper right second molar is not straight and my upper left first and second molar are not straight. I now have a transparent retainer and a bottom retainer. I am not in age to buy myself something but I want to know and I will when I'll be able to. I was even able to break off the little hook for the elastics and or bend them (unintentionally obviously). I was able to break off/remove my molar braces many times by eating dates and unintentionally biting the dates solid core (it happened around 4 times) it's maybe the cause for my unstraight molars. Also, I'll admit it when I had elastics and I procrastinated on not wearing them and I have an appointment in 2 days I use to put two or maybe three elastics and I don't know if it had consequences. And for esthetics reasons after such a long time of unhealthy mouth hygiene, my teeth got quite yellow, I would like to fix that. Sorry for not being able to pay you or whatsoever but if I was would definitely if you're answer is satisfying. Please answer my questions, I am sorry for bad structure and errors I'm working on it thank you very much.
No answers so far.
Do you want to answer this question? Login or register now to answer this question.
More Questions from General Dental

grinding teeth
my dentist was to fill one tooth but in the process which took a long time, I have found that two of my bottom teeth where the filling was done, the dentist also grounded down two of my teeth (without telling me) and now they are shorter than the...

Hole in a filling
I had a filling done on the side of a back tooth as there was a slight hole where a filling had been done many many years ago but had come away. The dentist noticed a hairline crack so filled this hole with a white filling and didn’t need to drill...

What procedure would help fix the gap and crooked of my two front teeth?
I have been living under fear and was a victim of bullying because of my teeth. They are very unaligned....the ones that concern me the most are the two front teeth they are crooked and there is a very wide noticeable gap there. I hate it and it's...

White Bumps - Harmless or Urgent?
I just noticed 3-4 days ago that I have tiny gums colored and white bumps near the roots of my teeth but in-between the teeth (primarily on the gingiva or border between gingiva and gums). They are semi hard and painless. Some appear in clusters. I...

Military and teeth
Im planning to enlist in the military however one needs to not have any dental treatment to join. Im planning on quitting wearing my retainers so I can enlist and I alreadly notice its starting to shift back. Now I cant put both of my Jaws lined up....

I have a deep overbite.
I have had a deep bite and no dentist wants to treat it. My top front teeth completely overlaps my bottom teeth, I have issues with speaking and eating. I have developed TMJD and a trainee dentist told me there is no way that my deep bite caused...

Back gum is swollen but doesn’t hurt no infection
My gum is a little swollen but it doesn’t hurt unless I move it or press on it it’s on my last back molar. Should I be worried? I can’t afford a dentist and have no insurance but I can eat fine and drink fine. Should I be super concerned I gargled...

Is the bump on my tongue cause for concern?
Hi, my name is Sarah, and I'm a 25-year-old female. I have a bump on the lateral right side of my tongue (see picture). In diameter, I'd say it's about the size of a pencil eraser. The other side of my tongue does not look like this at all. There's...

Should I get new braces? Can’t I just get new retainer?
I used braces for one and half years, then I got the plastic clear retainer and was told to wear it every night for 6 months. But, I always forgot to wear it then when I went back to my orthodontist, he told me to wear my retainer for another 3...

What are dental sealants supposed to feel like?
I had dental sealants on my molars when I was 7, I just got them redone at 22. Unfortunately, my molars where the sealants are placed feel very chalky, not slick like the rest of my teeth.But there aren’t bite problems or sharp pieces. I’m wondering...