Should I have baby teeth removed?
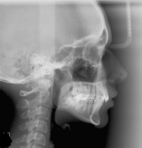
I am a 31 year old male. I work in a managerial position where I meet new people every day and do a lot of presentation work. (Back ground info) I have two milk/baby teeth. They are the upper canines. They have never given me any problems until recently the adult tooth has broken through from the roof of my mouth BEHIND one. I had x-rays performed by my dentist and she told me all was well but that on the other side the same thing was going to occur also. I have been referred to an orthodontist about the issue. I am awaiting my appointment date. My dentist has told me that my teeth and gums are very healthy and this includes the baby teeth. However, the two adult teeth arriving in the wrong place are bothering me. Both astethically and from a functional point of view. I find food getting trapped between baby tooth and new adult one. I guess I want to know what my options are. Should i get the baby teeth removed and guide the others into place (dont like the idea of braces). Should I get the adult teeth removed and leave the baby teeth. Is it possible I then might damage the baby teeth as a result of the surgery. Should i get all removed and get implants? Should I get the baby teeth crowned or veneered? Should I just leave all alone (although I would rather get it sorted). Cost isn't really an issue (within reason), but time, appearance, pain, finished product, lifespan of product, upkeep, etc are the real issues. Can you help. Thanks in advance.
No answers so far.
Do you want to answer this question? Login or register now to answer this question.
More Questions from Orthognathic Surgery

Will jaw surgery correct my tongue thrust?
I have an open bite due to a tongue thrust I've had since I was a baby (I'm 22 now). My open bite has caused some issues like with trouble chewing, I have a slight lisp when I talk, I hate my smile and sometimes I find myself gasping for breath in...

Should I get jaw surgery?
Hello, I have an under bite, and while my braces were on, I was told to get jaw surgery. However, I rejected it at the time and so the orthodontists did their best to line up my teeth using braces. I now have my braces off, but I'm not completely...

Jaw Surgery Doesn't Feel Right - Le Fort
I recently had le fort I upper jaw advancement and feel like it isn’t right. Any help or advice is appreciated. I had braces at the age of 18 that camouflaged underlining issues with very narrow palate. I had many teeth removed growing up also. I...

Infraorbital nerve feeling after jaw surgery
A year ago I had jaw surgery, maxillary osteotomy. Since then, my upper teeth and gums had been numb. I knew regaining feeling would take time, but I never got many details about what that would be like. I've been having a lot of sinus pain and...

Surgery had on my 4 teeth and bone removed
My gums feel like they were cut up into nothing. there hurting , raw and sore.what can i do to help my gums to heal fast and assist them please. Pain medication isn't helping at all. The dr. had a hard time cutting teeth and bones out

My gum is growing over my teeth
Why are my gums growing over my bottom teeth? It hurts so bad I can barely take it. I have a very hard time brushing because they bleed.They also bleed, it hurts when I eat. Sometimes I wake up in the middle of the night and have blood on my pillows...

Do I require lefort 1 advancement?
I am 9 months post sarpe. My orthodontist said I should ask my surgeon if I should do lefort 1. My surgeon says I wouldn’t need lefort 1 advancement unless my ortho tilts my bottom front teeth out. What should I do and what questions and procedures...

Overjet? Braces? Is my upper jaw forward or my lower jaw back??
I am 26 yr old female and i have finally gathered the money to get my braces done. Over the years i have been told that my lower jaw is "pushed back" and it could cause problems when am older. The last orthodontist i went to, mentioned that i have...

Bone Grafting
Hello I am 42 years old and I recently had an orthodontic consultation where the orthodontist said that because I have a slight posterior cross bite on my upper right side, I MAY need a bone graft (before a full course of Invisalign or braces) or...

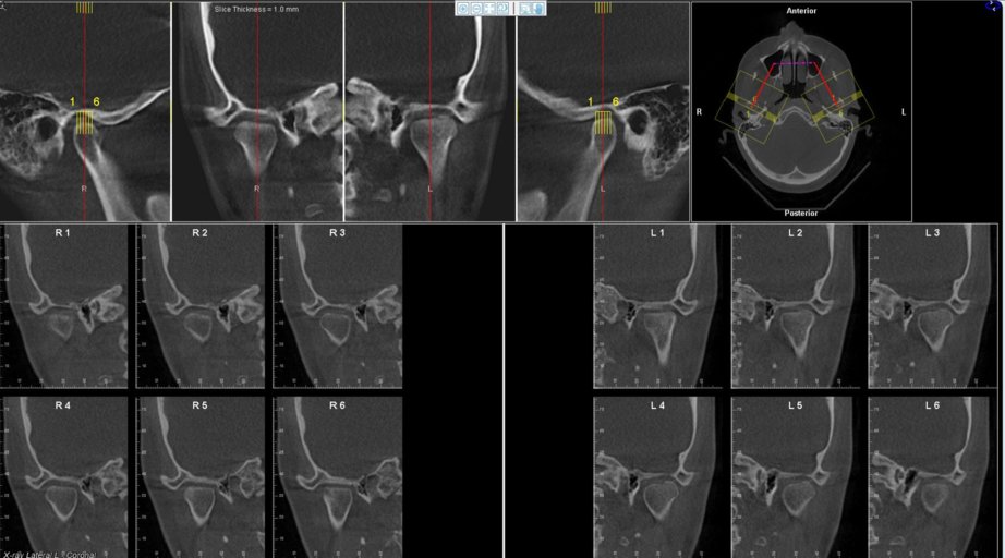
In this image of my condyles, do they appear normal/healthy or is there any bone loss?
Attached is an image of my condyles. Are they normal and healthy or Do you see any bone loss such as flattening or erosion of them? If there does appear to be some bone loss, how does this affect my bite and the appearance/position of my jaw?? Is...