Underbite Facial Profile

Hi I am 18 I have an underbite- I dont know how the severity of them is classed- but I know mine is not that severe- when I smile you cannot see the bottom teeth, if I try I can align the top and bottom teeth, the underbite is only prominent when my mouth is closed- it is prominent only when my mouth is closed and ESPECIALLY when I bite down- it is VERY prominent- the jaw looks massive. The distance between the top set and bottom set is slightly less than a cm. In the consultation the orthodontist said that surgery was really not necessary. The underbite can be fixed with just braces- however we had never discussed how facial aesthetics would be affected- so given I knew nothing about either treatment I couldnt assume that any difference would possibly exist and so agreed to non surgery just braces. I am starting to get an increasingly stronger feeling as I research online that there is negligable change in facial profile when you have braces only to fix the bite. Is this true? If so I am absolutely disappointed. Will the sunken "bulldog" look still be there? If so what a waste of 3 years it will have been. The way my face will look is a big deal to me. WHEN I ALIGN BOTH UPPER AND LOWER SETS OF TEETH TOGETHER THEY BOTH MANAGE TO TOUCH(just)- AND MY SIDE PROFILE LOOKS AS IF IT WOULD FOR ANY PERSON WITH NORMAL BITE. This normal side profile is what I also want- It is in my usual state(when I dont try to align) than the big jaw look is noticable. SURELY IF I CAN ACHIEVE A NORMAL LOOKING SIDE PROFILE BY ALIGNING MYSELF- AFTER 3 YEARS WHEN BRACES HAVE DONE THEIR JOB- MY SIDE PROFILE WILL BE NORMAL TOO REGARDLESS OF WHETHER IN MY USUAL STATE OR NOT? If this is the case then there is absolutely no problem and will continue with the way things are planned- if not I will try to convince my orthodontist to try surgery if it is the only way. Extra Details: I had my spacers taken off a few weeks ago and had the 4 metal things they put on the molars. So it is still early days. My next appointment is in exactly two weeks- she said the top brace would be put on first(crooked tooth is also being fixed) and later extraction when I was ready so that the actual underbite treatment could begin. I dont want to go through 3 years of this just for an imperfection to remain- If I'm going to do it especially at this age I want it to be totally fixed- even if takes a bit more pain- after all with surgery it would still take same amount of time. Thank you for reading this far- what is your opinion about the side profile- bulldog look - and what do think I should do/what should I ask her next time I see her in two weeks- I dont want her to be angry at me for wasting more time. Thanks again.

No answers so far.

Do you want to answer this question? Login or register now to answer this question.

More Questions from Orthognathic Surgery

Will jaw surgery correct my tongue thrust?

I have an open bite due to a tongue thrust I've had since I was a baby (I'm 22 now). My open bite has caused some issues like with trouble chewing, I have a slight lisp when I talk, I hate my smile and sometimes I find myself gasping for breath in...

Should I get jaw surgery?

Hello, I have an under bite, and while my braces were on, I was told to get jaw surgery. However, I rejected it at the time and so the orthodontists did their best to line up my teeth using braces. I now have my braces off, but I'm not completely...

Jaw Surgery Doesn't Feel Right - Le Fort

I recently had le fort I upper jaw advancement and feel like it isn’t right. Any help or advice is appreciated. I had braces at the age of 18 that camouflaged underlining issues with very narrow palate. I had many teeth removed growing up also. I...

Infraorbital nerve feeling after jaw surgery

A year ago I had jaw surgery, maxillary osteotomy. Since then, my upper teeth and gums had been numb. I knew regaining feeling would take time, but I never got many details about what that would be like. I've been having a lot of sinus pain and...

Surgery had on my 4 teeth and bone removed

My gums feel like they were cut up into nothing. there hurting , raw and sore.what can i do to help my gums to heal fast and assist them please. Pain medication isn't helping at all. The dr. had a hard time cutting teeth and bones out

My gum is growing over my teeth

Why are my gums growing over my bottom teeth? It hurts so bad I can barely take it. I have a very hard time brushing because they bleed.They also bleed, it hurts when I eat. Sometimes I wake up in the middle of the night and have blood on my pillows...

Do I require lefort 1 advancement?

I am 9 months post sarpe. My orthodontist said I should ask my surgeon if I should do lefort 1. My surgeon says I wouldn’t need lefort 1 advancement unless my ortho tilts my bottom front teeth out. What should I do and what questions and procedures...

Overjet? Braces? Is my upper jaw forward or my lower jaw back??

I am 26 yr old female and i have finally gathered the money to get my braces done. Over the years i have been told that my lower jaw is "pushed back" and it could cause problems when am older. The last orthodontist i went to, mentioned that i have...

Bone Grafting

Hello I am 42 years old and I recently had an orthodontic consultation where the orthodontist said that because I have a slight posterior cross bite on my upper right side, I MAY need a bone graft (before a full course of Invisalign or braces) or...

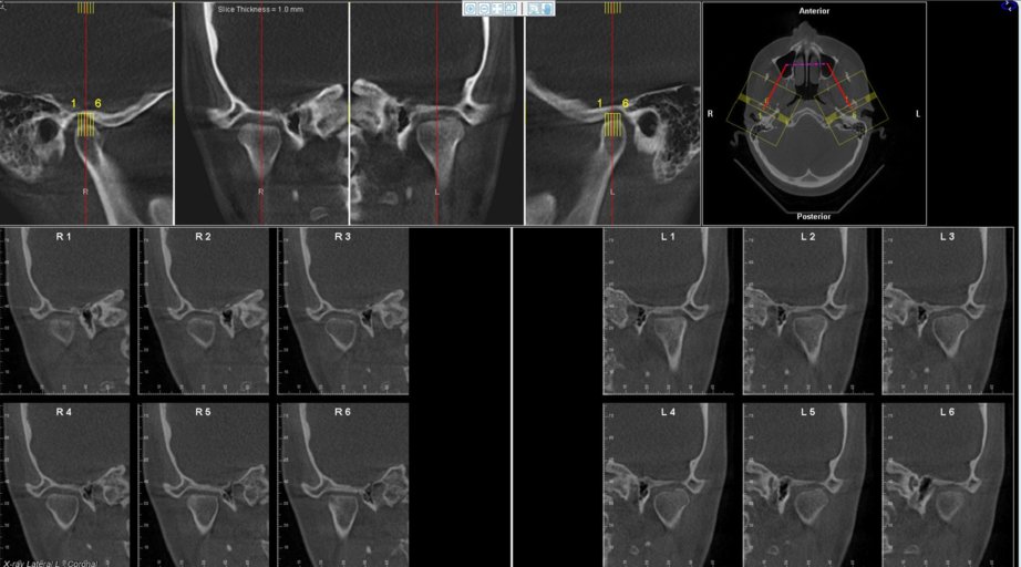
In this image of my condyles, do they appear normal/healthy or is there any bone loss?

Attached is an image of my condyles. Are they normal and healthy or Do you see any bone loss such as flattening or erosion of them? If there does appear to be some bone loss, how does this affect my bite and the appearance/position of my jaw?? Is...