What is the chance of a 3rd bsso setback after 2 relapses?

I\'ve had 2 bsso set back surgery\'s 10 years ago , to just move my jaw back 3/16\" to try to eliminate an edge to edge bite that was created for me by my General Dentist .... Both surgeries relapsed the last one coming way forward and way to the right . .... I then had an unsuccessful full mouth restoration , I have 8 implants and and the rest all crowns ....they just couldn\'t make it work on a jaw that was now in a very bad relation ship to my upper .....I remain with an intolerable \"end to end\" as they are to afraid to try a 3rd surgery . I have Just awful constant nerve pain from inside my lip to outside my lip and down to the bottom of my chin . I have been splinted for the past 10 years 24/7 as the \"edge to edge \" is so terrible and my mouth is completely dysfunctional now without it ..... Being splinted like this has added to the suffering as my joints and face ache up to my eyeballs .....this is on top of myTN like symptoms ....... Needless to say my life especially now that I\'m retired has been a struggle just to get out of bed in the morning to try and face another day of pain and hopelessness! . In my terrible predicament would it not be worth another try to put my jaw in a stable position ..... I\'m at the end of my rope and have with great sadness been thinking of a way out of this life . So would there be another procedure to achieve what was set out 10 years ago , thanx so much ......Bob

No answers so far.

Do you want to answer this question? Login or register now to answer this question.

More Questions from Orthognathic Surgery

Will jaw surgery correct my tongue thrust?

I have an open bite due to a tongue thrust I've had since I was a baby (I'm 22 now). My open bite has caused some issues like with trouble chewing, I have a slight lisp when I talk, I hate my smile and sometimes I find myself gasping for breath in...

Should I get jaw surgery?

Hello, I have an under bite, and while my braces were on, I was told to get jaw surgery. However, I rejected it at the time and so the orthodontists did their best to line up my teeth using braces. I now have my braces off, but I'm not completely...

Jaw Surgery Doesn't Feel Right - Le Fort

I recently had le fort I upper jaw advancement and feel like it isn’t right. Any help or advice is appreciated. I had braces at the age of 18 that camouflaged underlining issues with very narrow palate. I had many teeth removed growing up also. I...

Infraorbital nerve feeling after jaw surgery

A year ago I had jaw surgery, maxillary osteotomy. Since then, my upper teeth and gums had been numb. I knew regaining feeling would take time, but I never got many details about what that would be like. I've been having a lot of sinus pain and...

Surgery had on my 4 teeth and bone removed

My gums feel like they were cut up into nothing. there hurting , raw and sore.what can i do to help my gums to heal fast and assist them please. Pain medication isn't helping at all. The dr. had a hard time cutting teeth and bones out

My gum is growing over my teeth

Why are my gums growing over my bottom teeth? It hurts so bad I can barely take it. I have a very hard time brushing because they bleed.They also bleed, it hurts when I eat. Sometimes I wake up in the middle of the night and have blood on my pillows...

Do I require lefort 1 advancement?

I am 9 months post sarpe. My orthodontist said I should ask my surgeon if I should do lefort 1. My surgeon says I wouldn’t need lefort 1 advancement unless my ortho tilts my bottom front teeth out. What should I do and what questions and procedures...

Overjet? Braces? Is my upper jaw forward or my lower jaw back??

I am 26 yr old female and i have finally gathered the money to get my braces done. Over the years i have been told that my lower jaw is "pushed back" and it could cause problems when am older. The last orthodontist i went to, mentioned that i have...

Bone Grafting

Hello I am 42 years old and I recently had an orthodontic consultation where the orthodontist said that because I have a slight posterior cross bite on my upper right side, I MAY need a bone graft (before a full course of Invisalign or braces) or...

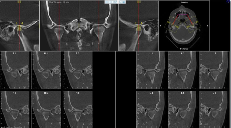
In this image of my condyles, do they appear normal/healthy or is there any bone loss?

Attached is an image of my condyles. Are they normal and healthy or Do you see any bone loss such as flattening or erosion of them? If there does appear to be some bone loss, how does this affect my bite and the appearance/position of my jaw?? Is...