What should I do with my jaw misalignment?
Dear Sir/Madam, I am writing to you about a problem with my jaw. Four years ago, I was moving my jaw around and heard the right side of it crack. I liked the sensation, so I kept cracking it for four months or so. I was never able to crack my left jaw, so I left that alone. I was slowly getting addicted to it, but I stopped because it hurt sometimes and it just didn't feel right. It was fine for a few months. But then I felt my right jaw tightening, as if the whole jaw structure was starting to get pushed into my right ear. I thought I might be imagining it, but no. It's four years from then, and this is driving me crazy. I think my jaw is sort of pushed into my right ear. The symptoms make my life much harder. First of all, because of the jaw misalignment, I keep biting my tongue when I'm trying to pronounce certain words, like the ones that contain 'th' or 's'. It makes speaking so difficult.
Plus, when I hear loud noises, the noises ring and echo in my right ear. When I face down and open and close my mouth (jaw), the antitragus of my right ear makes these small sounds and kind of shifts. I can crack my left jaw now, too, but infrequently. And my jaw can crack into my left jaw all the time, which is weird. That's just sort of a weird noise. I really want my jaw to be balanced, and I'm regretting the bad habits of four years ago. Currently I am an eighth grader (13 years old) in Shanghai, China, and I'm feeling the full effects of my mistakes. It's painful having words stuck inside of oneself, but being afraid to voice it out because of one's jaw. And sometimes it even hurts. I've talked to my dentist/orthodontologist about it, but he doesn't seem to believe me. He keeps saying that it's my teeth formation that's the matter, and he's drilled screws into my gums, too. I would really appreciate a second opinion, or any possible options I might have, from a professional like you. Thank you, and I look forward to hearing from you. Sincerely, ElsieJ 8th Grade Shanghai, PRC
No answers so far.
Do you want to answer this question? Login or register now to answer this question.
More Questions from Dental Surgery

Is the a dry socket or normal healing?
got pulled 3 days ago curious whether or not it’s a dry socket isn’t into much pain I would really appreciate if someone would answer. feels normal just wondering has stitches around it. not to deep of a hole.

will my bone graft surgery help minimize my periodontal pocket?
I have a tooth that is coming out, my dentist said he will be doing a deep cleaning, a sinus lift and bone graft before he places an implant and crown. I noticed that there is spacing in that tooth and the one next to it, will the bone graft and...

Is this an infection?
I just had all 4 wisdom teeth removed 3 days ago and this is on the bottom left side and I can’t tell what it is. It is only on the left bottom side and from trying to look it up on the internet I can’t tell if it’s an infection or not.

Jaw Bone Showing After Wisdom Tooth Extraction
Hello! One week ago I have two wisdom teeth removed, both being on the same side of my mouth. I had an infection on my bottom wisdom tooth and was given antibiotics prior to the extraction. Since the surgery, I have had dull pain from that one...

Do I need a biopsy? Is this a mucucele?
See pics please. This is soft to the touch. Been there a few years. I thought is was a blocked saliva duct but now it has the dark area beneath it which is new. Of note. About 6 years ago a general dentist said to keep an eye on it for any...

Why Am I Missing Roots on My Wisdom Teeth?
I'm having my wisdom teeth taken out soon. I was told that none of the four wisdom teeth have roots. I even saw the x rays, and it just looked like the top of a normal molar. They have not broken through the gums yet, but they felt I needed them out...

Help! Might need wisdom teeth removal during coronavirus.
Hello so I have had jaw pain and my wisdom teeth have needed to be removed. What should I do, all oral surgeons are closed due to COVID-19. Help please I am very nervous! My jaw seems a little swollen and I am worried it might spread!

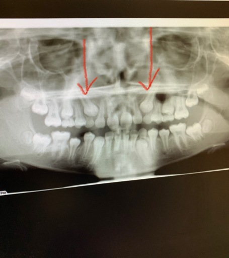
Impacted Canines
What is the procedure for impacted Canines that are at the top only for both canines and they are in the top of the gums on the outside (not in palette). I have an X-ray. ITS FOR MY DAUGHTER... 12 years old and 2 months.

Wisdom Tooth Removal, Infection?
I got my wisdom teeth removed on January 8th (it is now Jan 23) and I'm not sure if I'm healing properly. I am unable to visit my oral surgeon again, as I attend school out of state from where I had the procedure otherwise I would go in for a quick...

Underbite Worsening with Age and Correction Options
I had an underbite that orthodontists originally expected to correct itself. I got braces in 4th grade (about 9-10 years old) to correct a large gap due to two missing teeth (genetic, not caused by trauma) and then the orthodontist added a palette...